TC de la cabeza
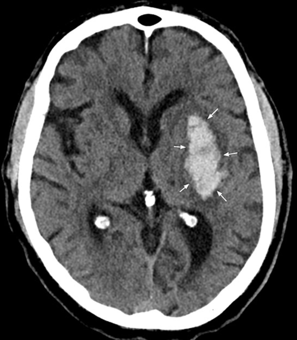
La TC muestra una hemorragia aguda en los ganglios basales izquierdos, que es compatible con una hemorragia intracerebral hipertensiva.
Image courtesy of Mustafa Mafraji, MD.
En estos temas
La TC muestra una hemorragia aguda en los ganglios basales izquierdos, que es compatible con una hemorragia intracerebral hipertensiva.
Image courtesy of Mustafa Mafraji, MD.