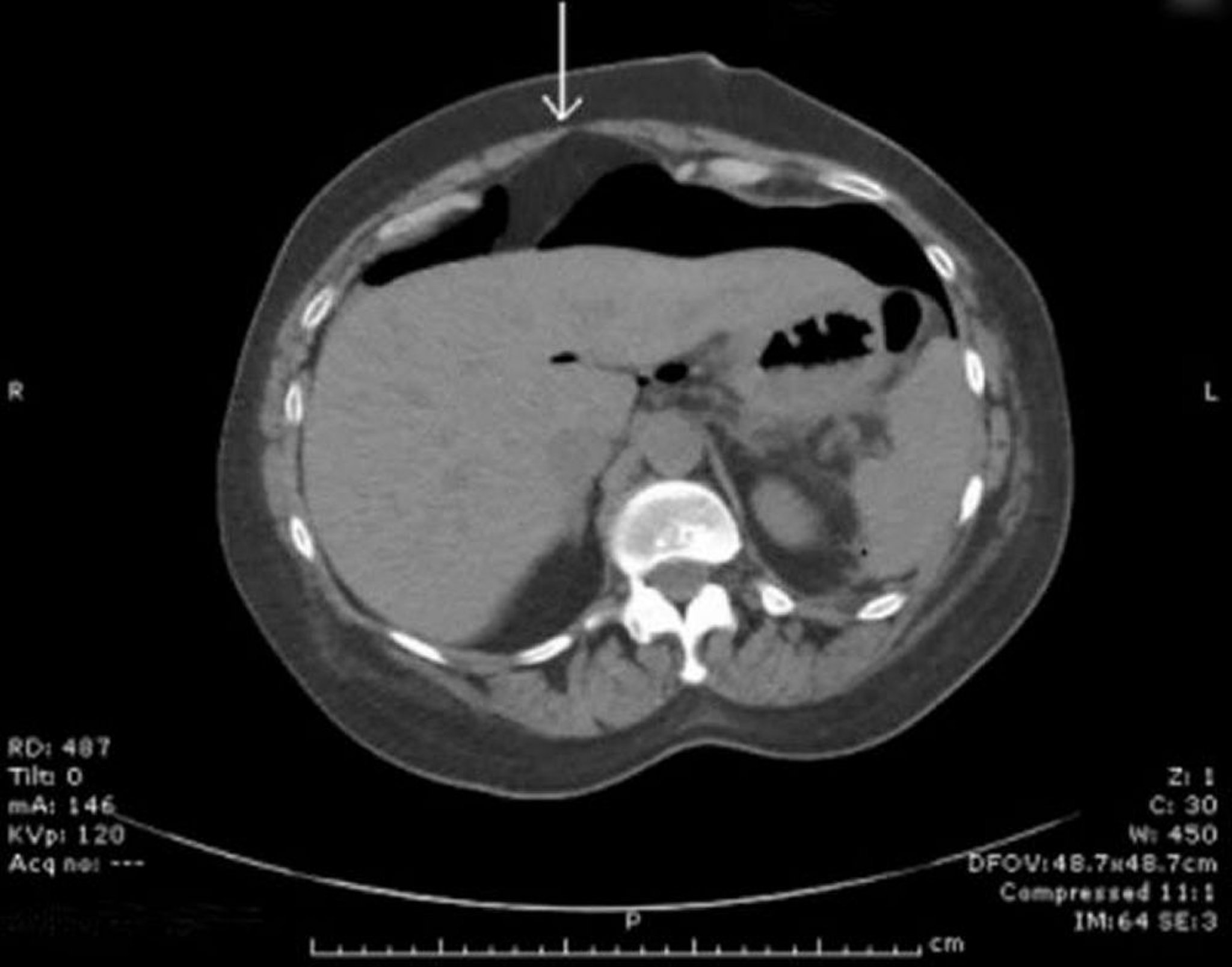
TC con aire peritoneal libre
El aire libre se observa por delante del hígado. La flecha señala el ligamento falciforme.
Image provided by Parswa Ansari, MD.
El aire libre se observa por delante del hígado. La flecha señala el ligamento falciforme.
Image provided by Parswa Ansari, MD.