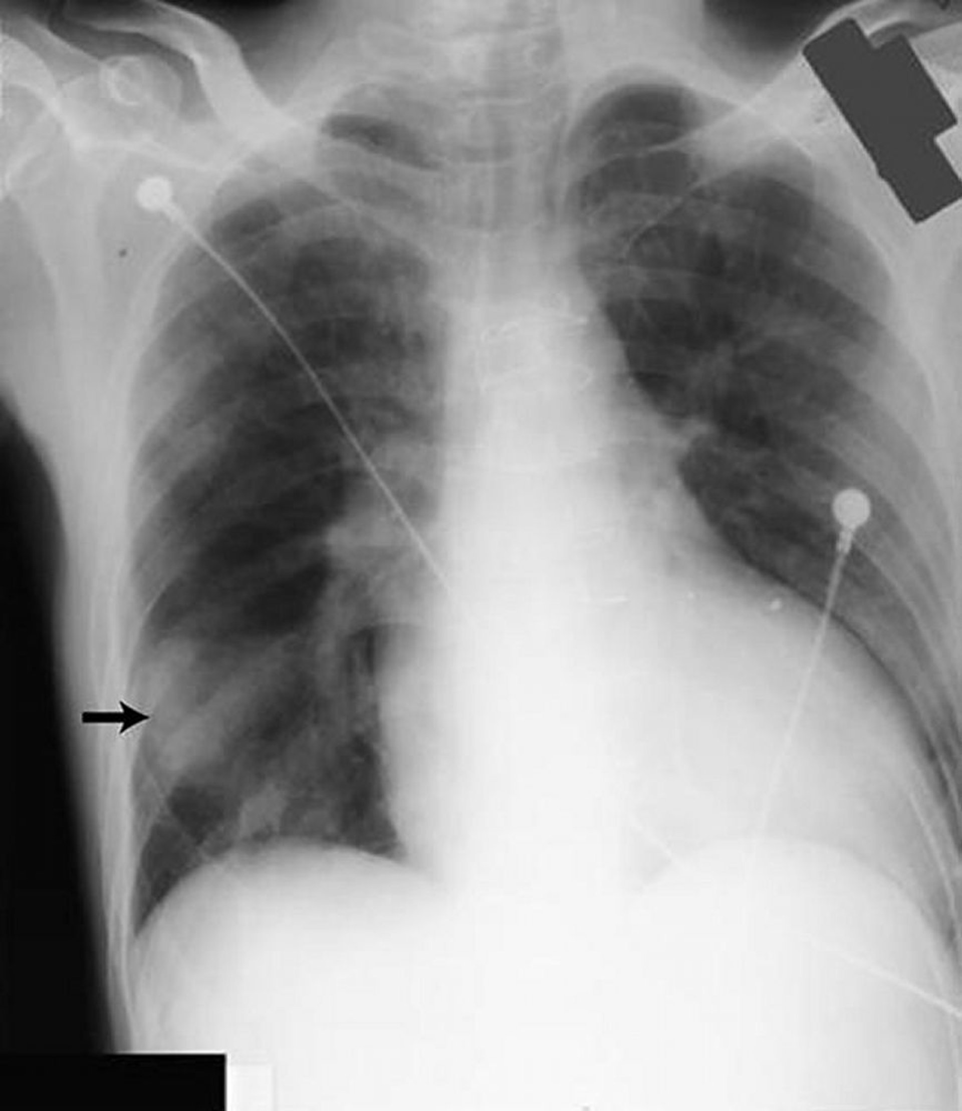
Seudotumor pulmonar
La opacidad en el campo pulmonar inferior derecho (flecha) parece un tumor sólido, pero estaba causada por la presencia de líquido en la cisura mayor en un paciente con insuficiencia cardíaca.
By permission of the publisher. From Huggins J, Sahn S. In Bone's Atlas of Pulmonary and Critical Care Medicine. Edited by J Crapo. Philadelphia, Current Medicine, 2005.
En estos temas
