Sarcoma de Ewing del radio
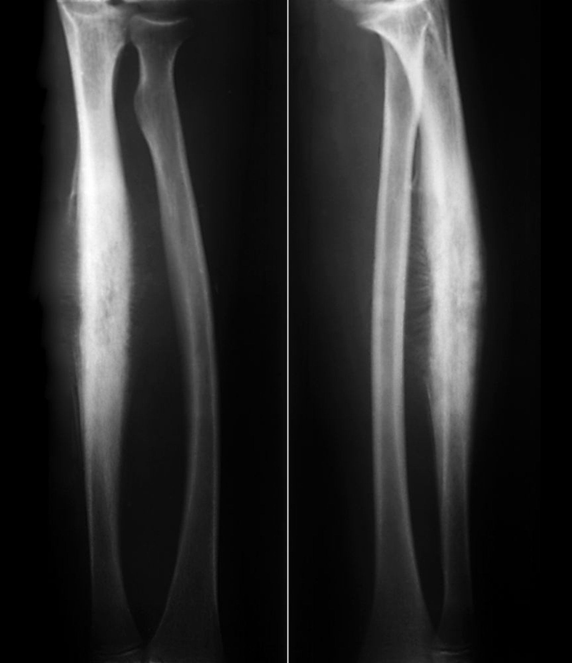
Este sarcoma de Ewing de la diáfisis radial muestra una formación subperióstica de hueso nuevo reactivo en una reacción perióstica de "rayos solares" clásica junto con la destrucción lítica del hueso cortical.
ZEPHYR/SCIENCE PHOTO LIBRARY
En estos temas
