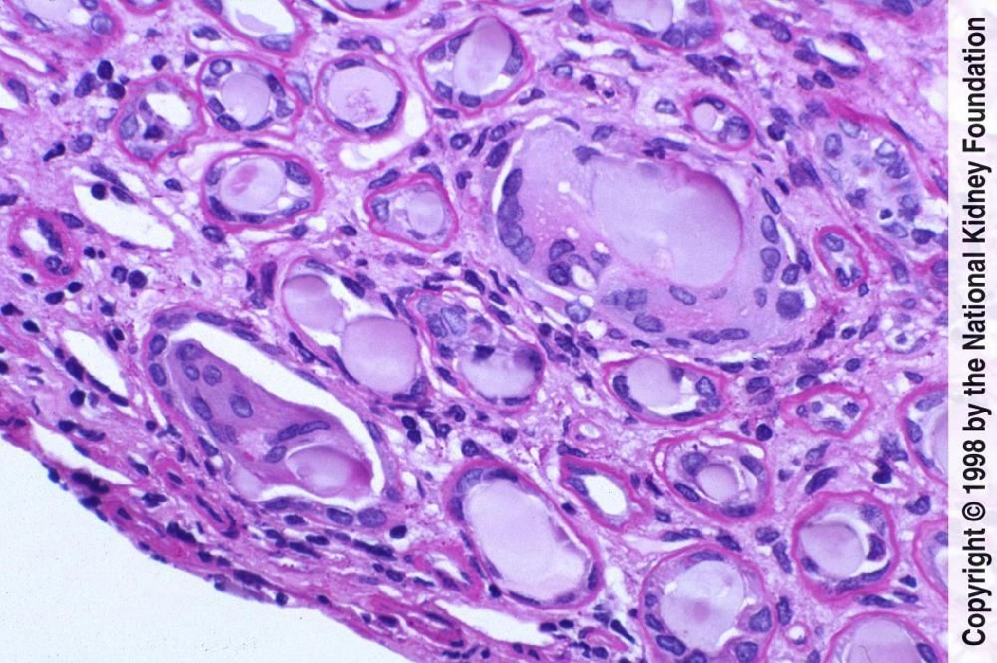
Riñón de mieloma
El mieloma renal es la enfermedad tubulointersticial causada por el depósito de cadenas ligeras y la formación de cilindros obstructivos en los túbulos renales. La pieza de biopsia muestra cilindros tubulares con reacción de células gigantes sincitiales en las áreas circundantes, nefritis tubulointersticial crónica con infiltrado linfocítico y fibrosis (tinción de ácido peryódico de Schiff, aumento original ×400).
Image provided by Agnes Fogo, MD, and the American Journal of Kidney Diseases' Atlas of Renal Pathology (véase www.ajkd.org).
En estos temas
