Radiografía de un tubo endotraqueal desplazado

Radiografía de un tubo endotraqueal desplazado

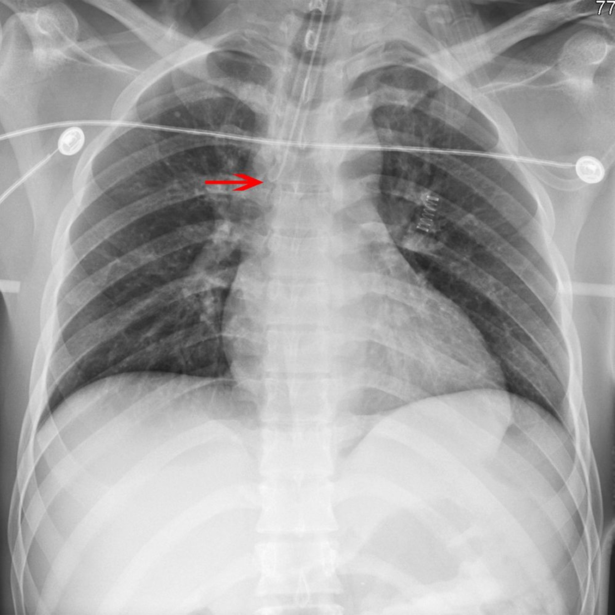
La flecha señala la punta de un tubo endotraqueal colocado incorrectamente en el bronquio principal derecho.

© 2017 Elliot K. Fishman, MD.