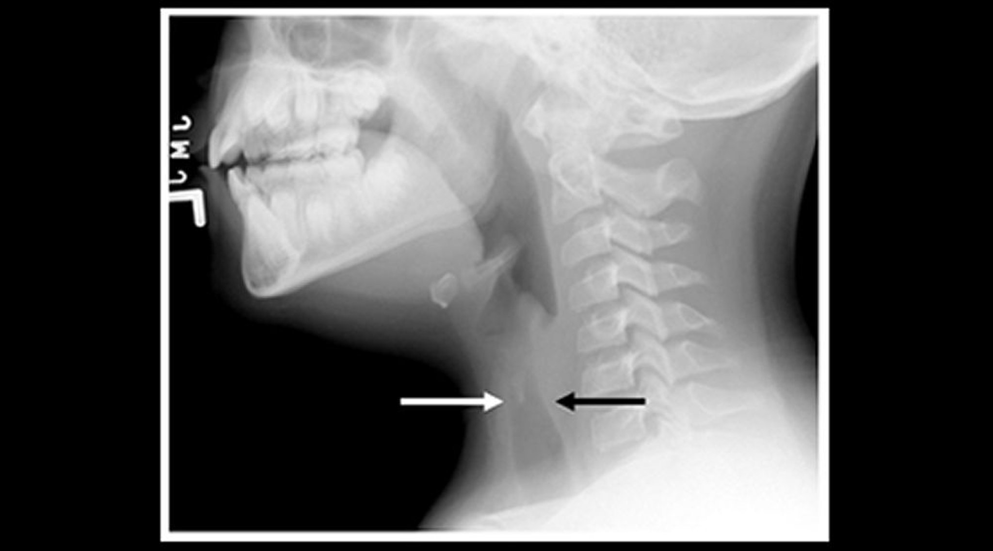
Radiografía de un niño con laringotraqueobronquitis espasmódica (crup) (cista sagital)
Radiografía de partes blandas del cuello de un niño con crup que muestra estrechamiento de la sombra aérea traqueal subglótica (flechas) y dilatación de los espacios aéreos faríngeos.
Image courtesy of John McBride, MD.
En estos temas
