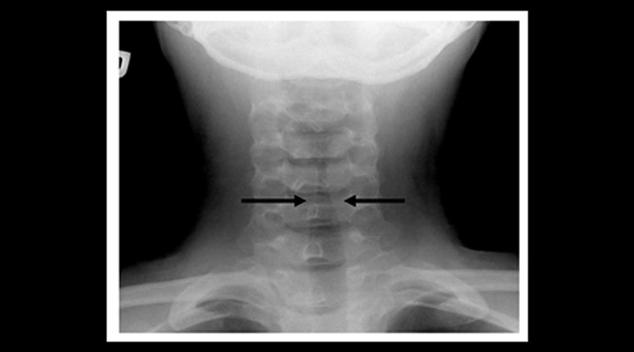
Radiografía de un niño con laringotraqueobronquitis espasmódica (crup) (cista coronal)
Radiografía de partes blandas del cuello de un niño con crup que muestra estrechamiento gradual de la sombra aérea traqueal subglótica (signo del campanario—flechas) y dilatación de los espacios aéreos faríngeos.
Image courtesy of John McBride, MD.
En estos temas
