Radiografía de tórax (válvula cardíaca protésica)
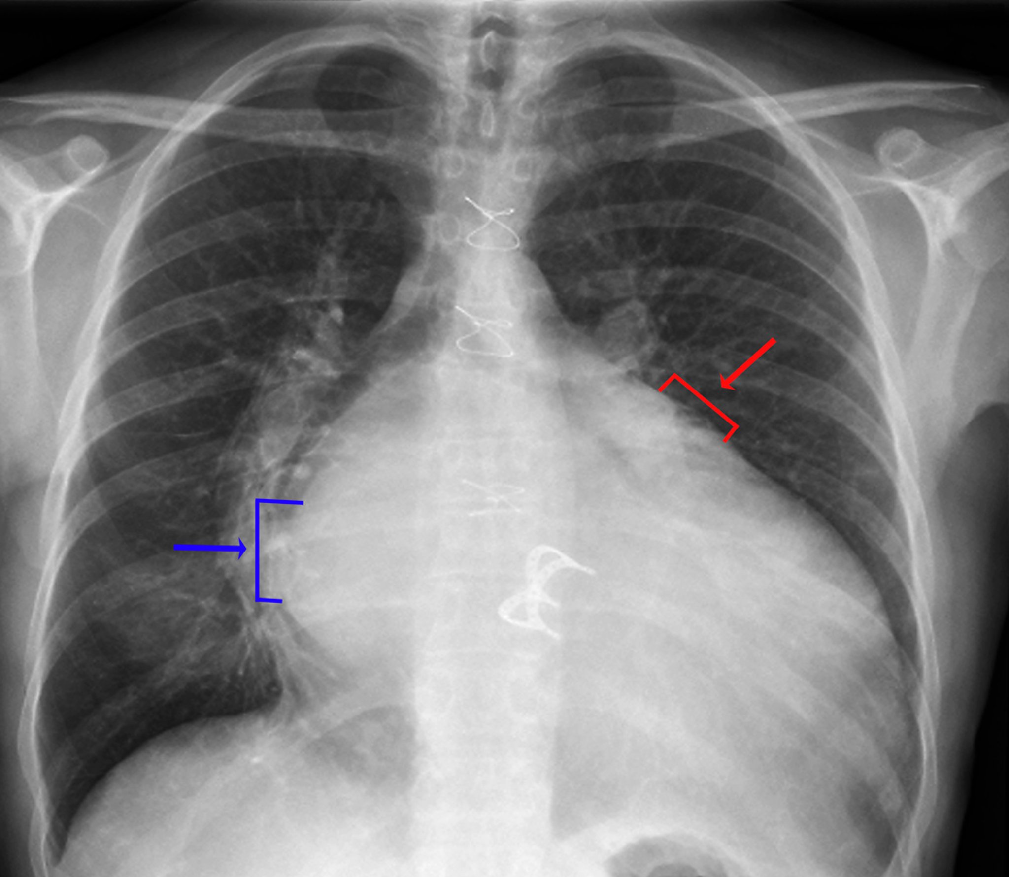
Los signos de agrandamiento de la aurícula izquierda incluyen una densidad visible de aurícula izquierda en el hemitórax derecho (flecha azul, signo de doble densidad), mayor distancia (> 7 cm) entre el borde auricular izquierdo en el hemitórax derecho y el bronquio principal izquierdo, un convexidad a lo largo del borde cardíaco superior izquierdo causada por el agrandamiento de la orejuela auricular izquierda (flecha roja) y el ensanchamiento de la carina con mayor separación entre los bronquios principales izquierdo y derecho. Los signos de agrandamiento ventricular izquierdo incluyen un agrandamiento de la silueta cardíaca y el desplazamiento del borde cardíaco izquierdo hacia la izquierda y abajo.
ZEPHYR/SCIENCE PHOTO LIBRARY
En estos temas
