Radiografía de tórax
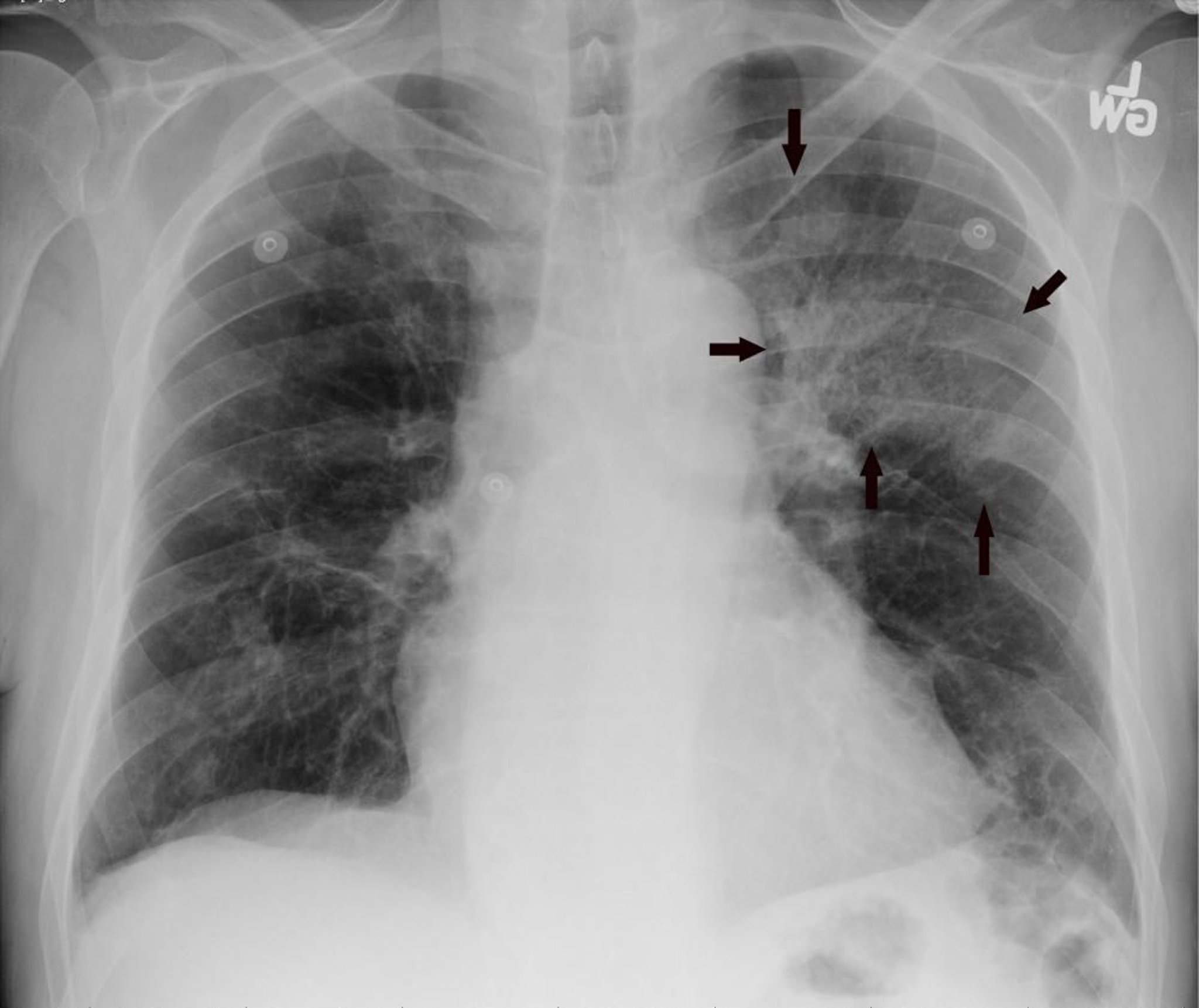
La radiografía de tórax posteroanterior muestra un infiltrado del lóbulo superior izquierdo compatible con neumonía (flechas).
Image courtesy of Hakan Ilaslan, MD.
En estos temas
La radiografía de tórax posteroanterior muestra un infiltrado del lóbulo superior izquierdo compatible con neumonía (flechas).
Image courtesy of Hakan Ilaslan, MD.