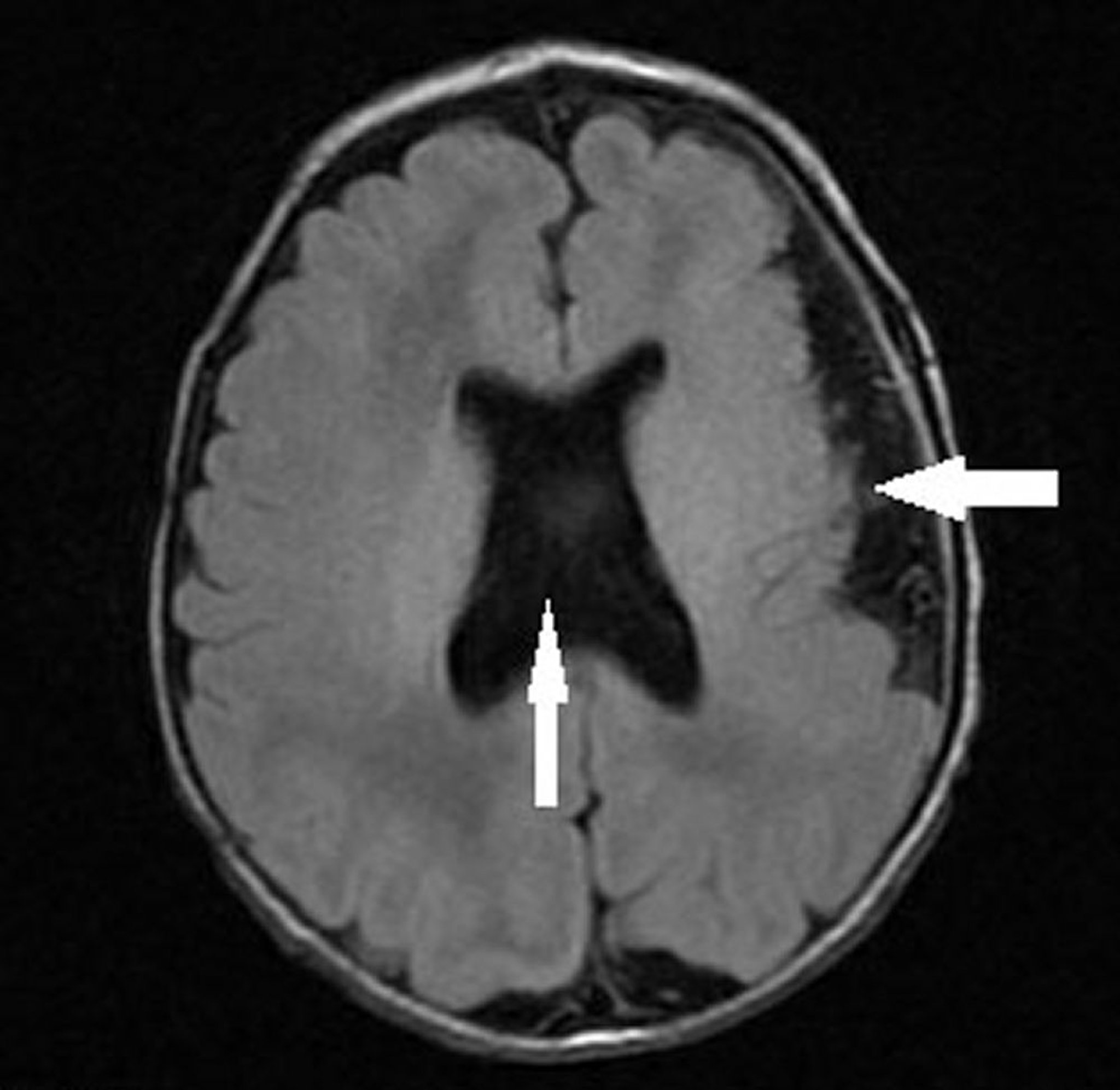
Polimicrogiria con displasia septoóptica
Esta imagen muestra a un lactante con polimicrogiria hemisférica izquierda (flecha hacia la izquierda) y ausencia de septum pellucidum con configuración ventricular anormal (flecha vertical) compatible con displasia septoóptica (hipoplasia del nervio óptico, septum pellucidum ausente o anormal e hipoplasia hipofisaria).
Image courtesy of Stephen J. Falchek, MD.
