Periodontitis
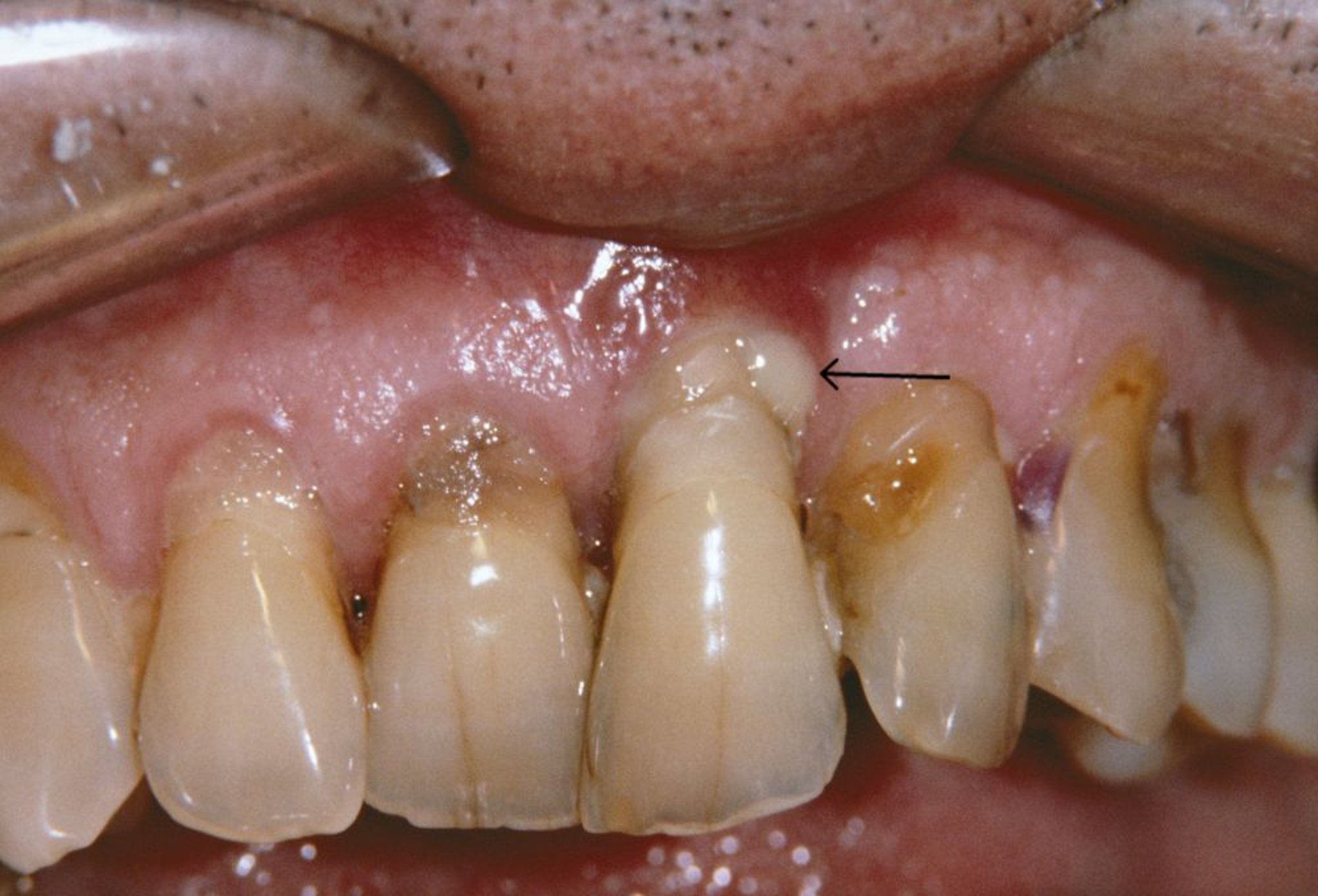
Esta fotografía muestra retracción de las encías y un absceso periodontal (flecha) en una persona que tiene periodontitis.
CNRI/SCIENCE PHOTO LIBRARY
En estos temas
Esta fotografía muestra retracción de las encías y un absceso periodontal (flecha) en una persona que tiene periodontitis.
CNRI/SCIENCE PHOTO LIBRARY