Osteomielitis
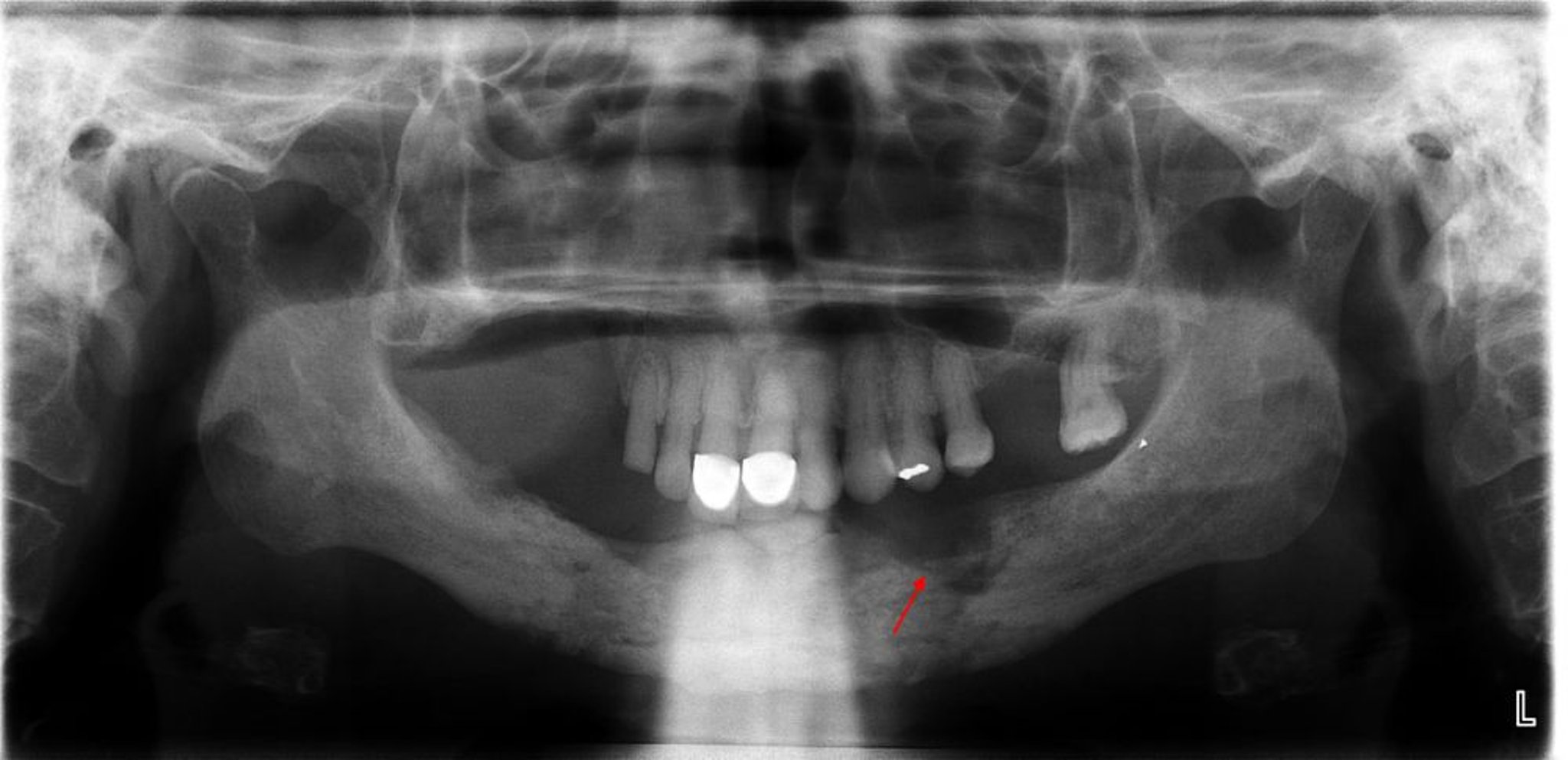
Esta radiografía revela osteomielitis con un secuestro evidente (hueso no viable) en el cuadrante mandibular izquierdo (flecha).
Image courtesy of Byron (Pete) Benson, DDS, MS, Texas A&M University Baylor College of Dentistry.
En estos temas
