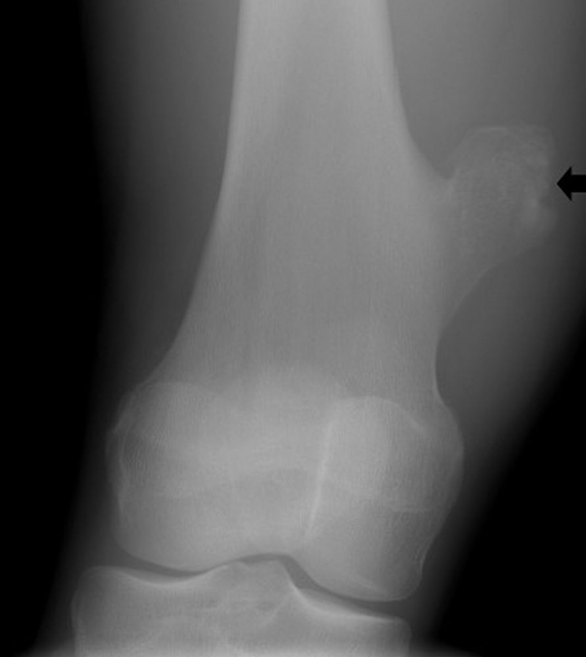
Osteocondroma de la rodilla
Esta radiografía de la rodilla muestra un crecimiento óseo (flecha) del fémur sobre la articulación de la rodilla, que es compatible con un osteocondroma.
Image courtesy of Michael J. Joyce, MD, and Hakan Ilaslan, MD.
En estos temas
