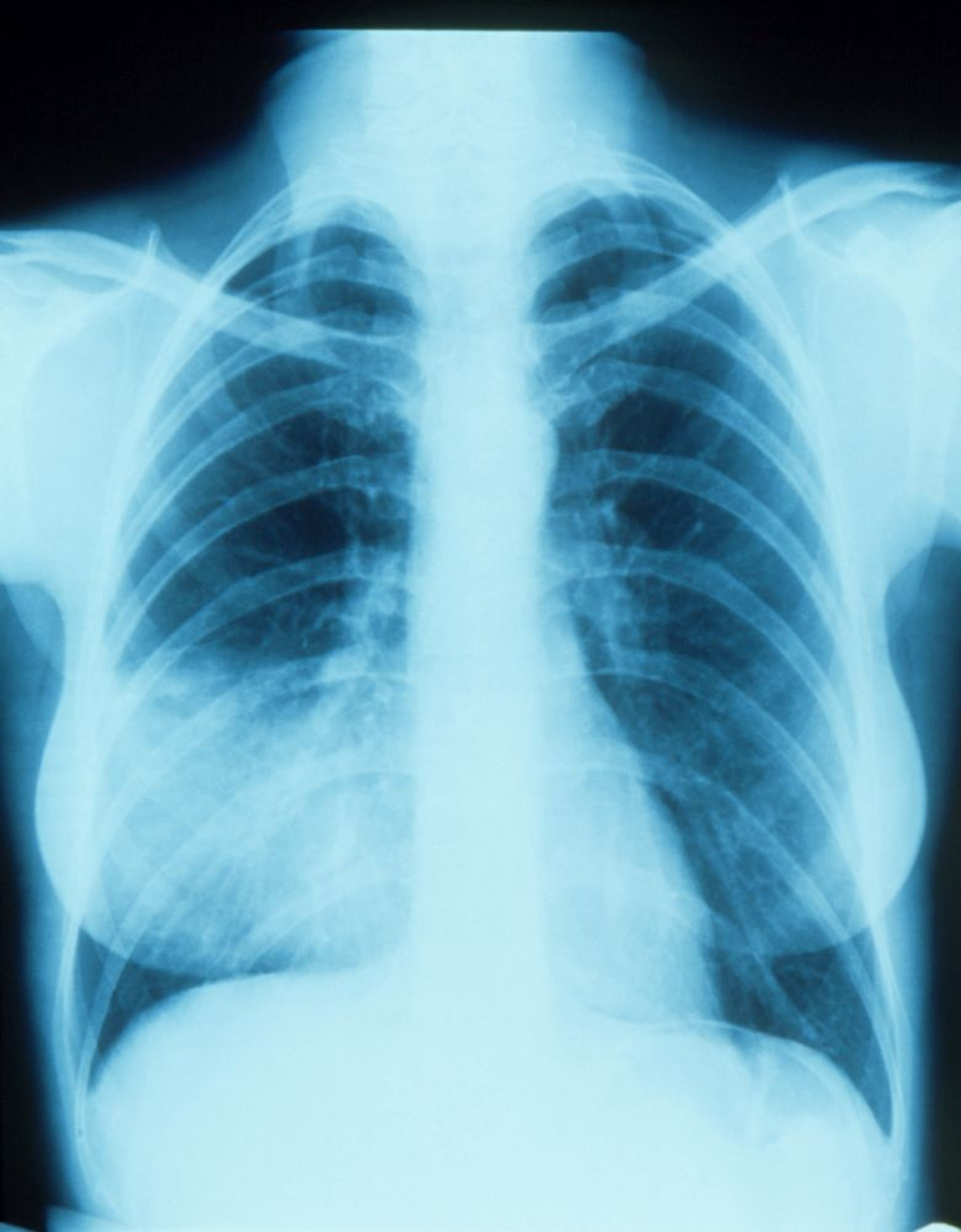
Neumonía del lóbulo medio derecho con signo de la silueta
Esta radiografía de tórax muestra un infiltrado que parece combinarse con el borde derecho del corazón (signo de la silueta). El signo de la silueta indica un posicionamiento contiguo de dos estructuras que tienen una radiodensidad similar; la parte del pulmón contigua al borde derecho del corazón es el lóbulo medio derecho, por lo que es la parte con el infiltrado y la neumonía.
SCIENCE PHOTO LIBRARY
En estos temas
