Neumomediastino (radiografía)
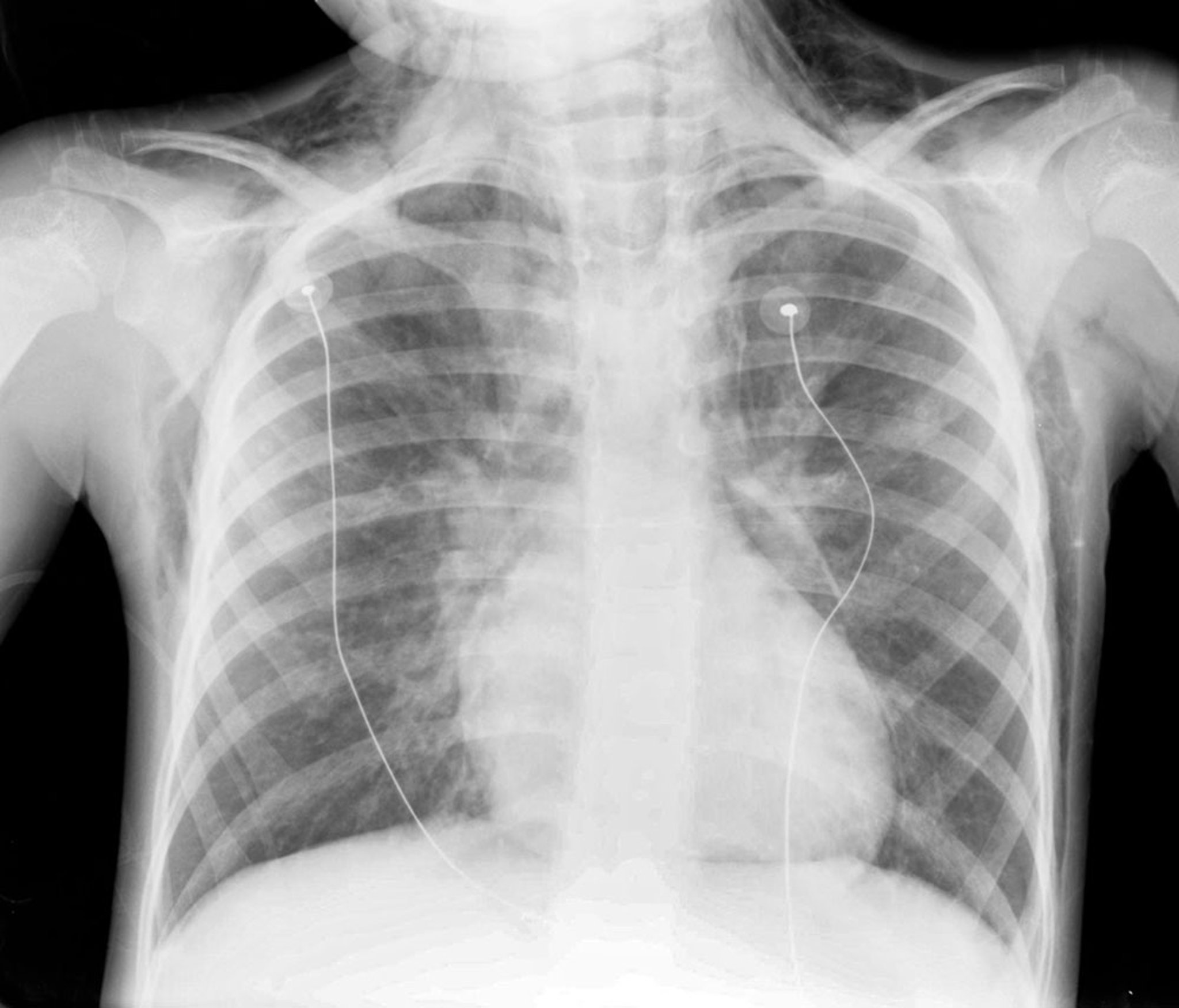
Esta radiografía muestra neumomediastino en un niño. Notése el aire alrededor del borde cardíaco y la tráquea, y en el cuello.
PROF. ANDRE LABBE/SCIENCE PHOTO LIBRARY
En estos temas
Esta radiografía muestra neumomediastino en un niño. Notése el aire alrededor del borde cardíaco y la tráquea, y en el cuello.
PROF. ANDRE LABBE/SCIENCE PHOTO LIBRARY