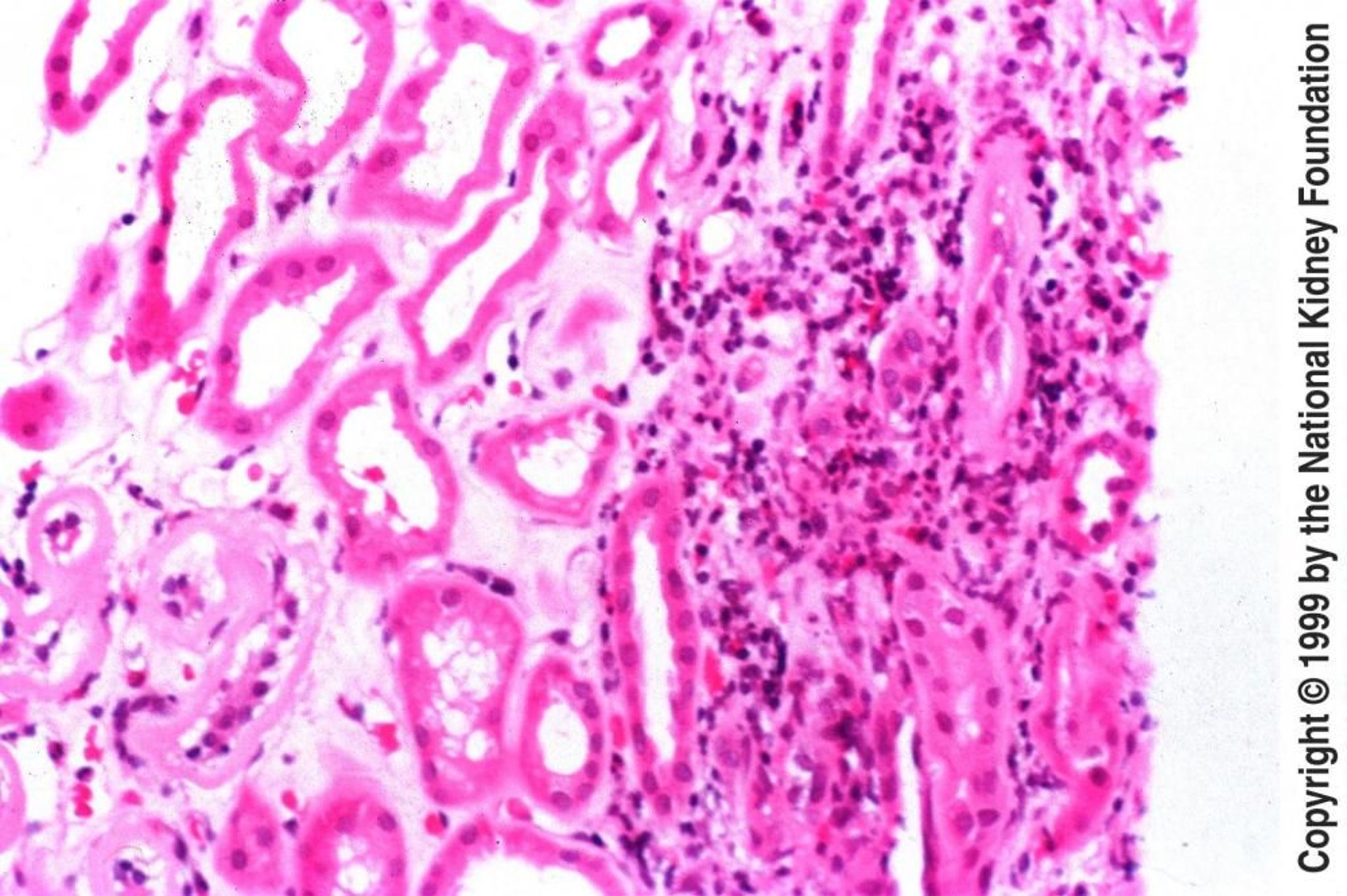
Nefritis tubulointersticial aguda
La pieza de biopsia de la nefritis tubulointersticial aguda muestra edema intersticial con infiltración de eosinófilos, linfocitos y células plasmáticas (tinción de hematoxilina-eosina, ×200).
Image provided by Agnes Fogo, MD, and the American Journal of Kidney Diseases' Atlas of Renal Pathology (véase www.ajkd.org).
En estos temas
