Necrosis cortical renal
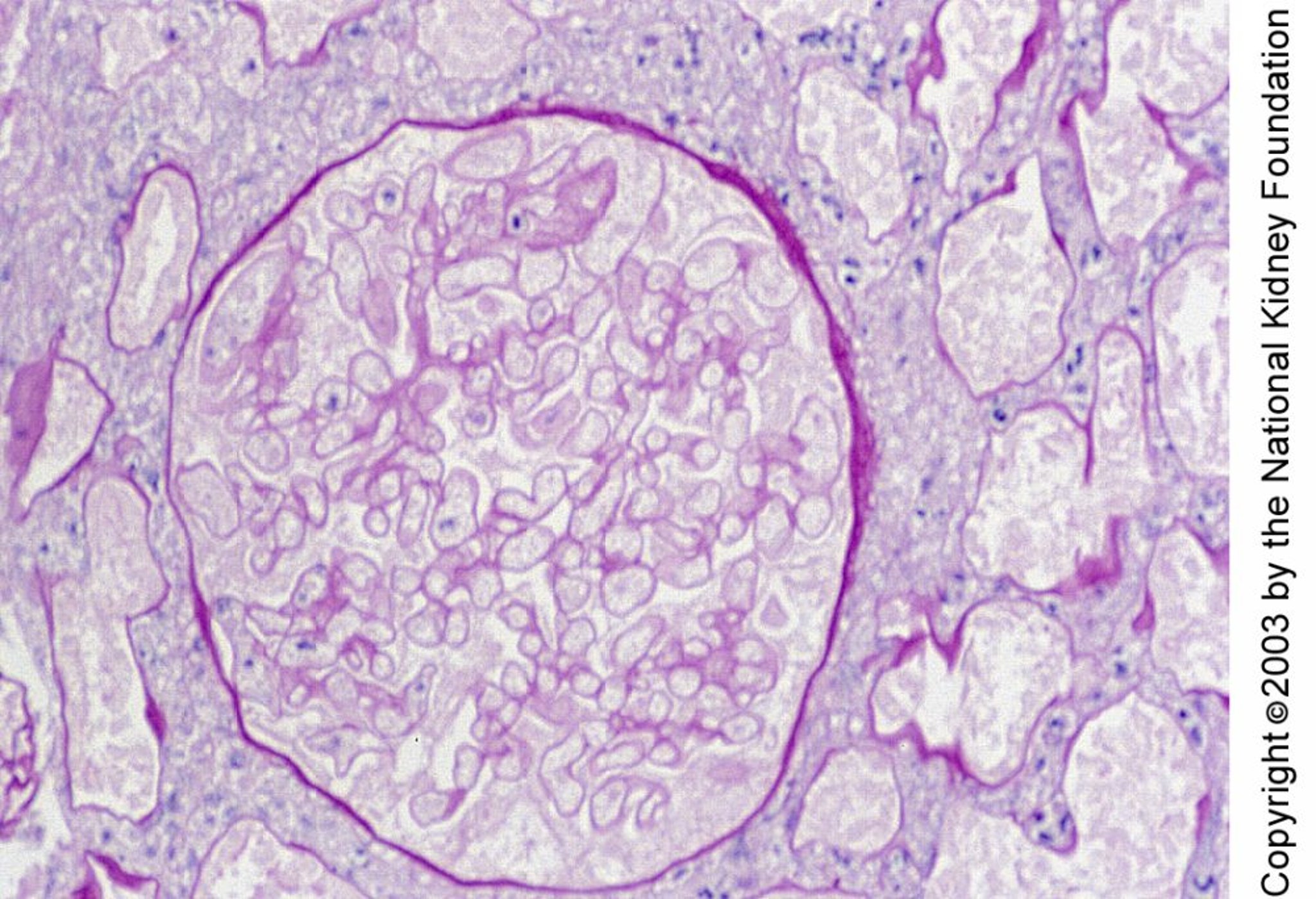
La necrosis cortical renal se caracteriza histológicamente por necrosis de los glomérulos y los túbulos. En esta pieza de biopsia la necrosis se manifiesta por núcleos pequeños y contornos de células fantasma (tinción de ácido peryódico de Schiff, × 400).
Image provided by Agnes Fogo, MD, and the American Journal of Kidney Diseases' Atlas of Renal Pathology (véase www.ajkd.org).
En estos temas
