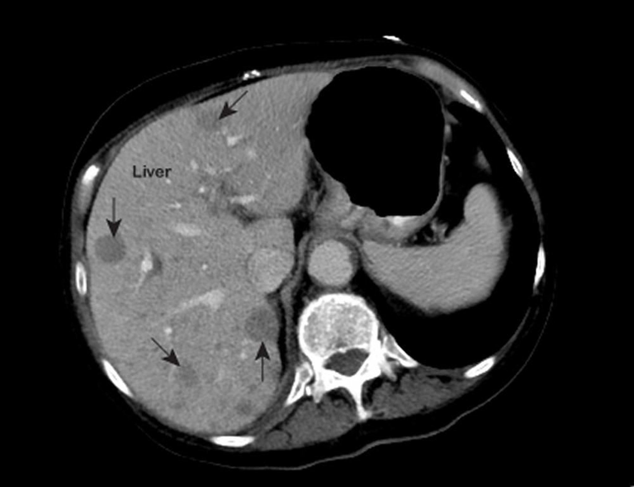
Metástasis tumorales hepáticas
Una resonancia magnética de tórax anormal muestra áreas de baja atenuación (marcadas con flechas) dentro del hígado. Este aspecto es típico del cáncer de hígado metastásico.
Photo courtesy of Patrick O’Kane, MD.
En estos temas
