Metástasis cerebrales
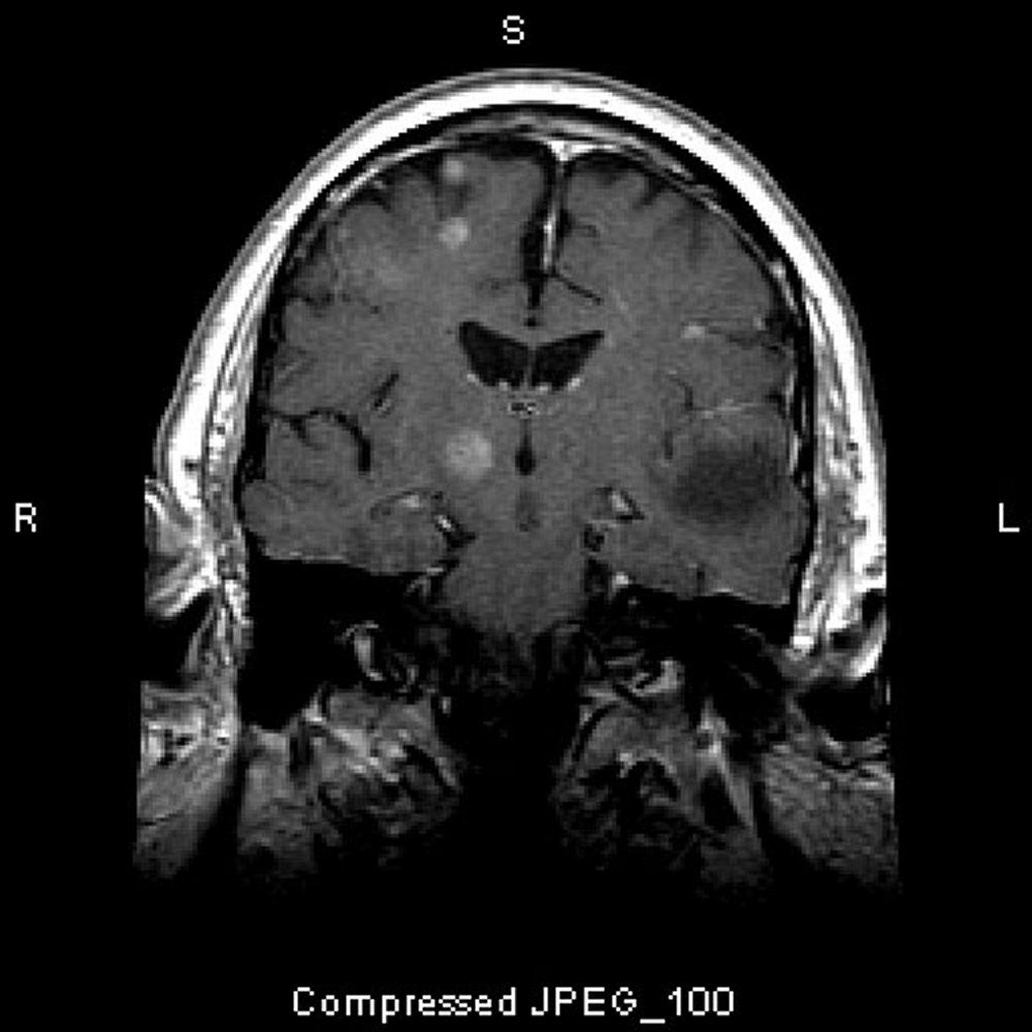
Esta RM muestra múltiples lesiones cerebrales, que representan tumores metastásicos. Más del 80% de las metástasis cerebrales son múltiples.
Image courtesy of William R. Shapiro, MD.
En estos temas
Esta RM muestra múltiples lesiones cerebrales, que representan tumores metastásicos. Más del 80% de las metástasis cerebrales son múltiples.
Image courtesy of William R. Shapiro, MD.