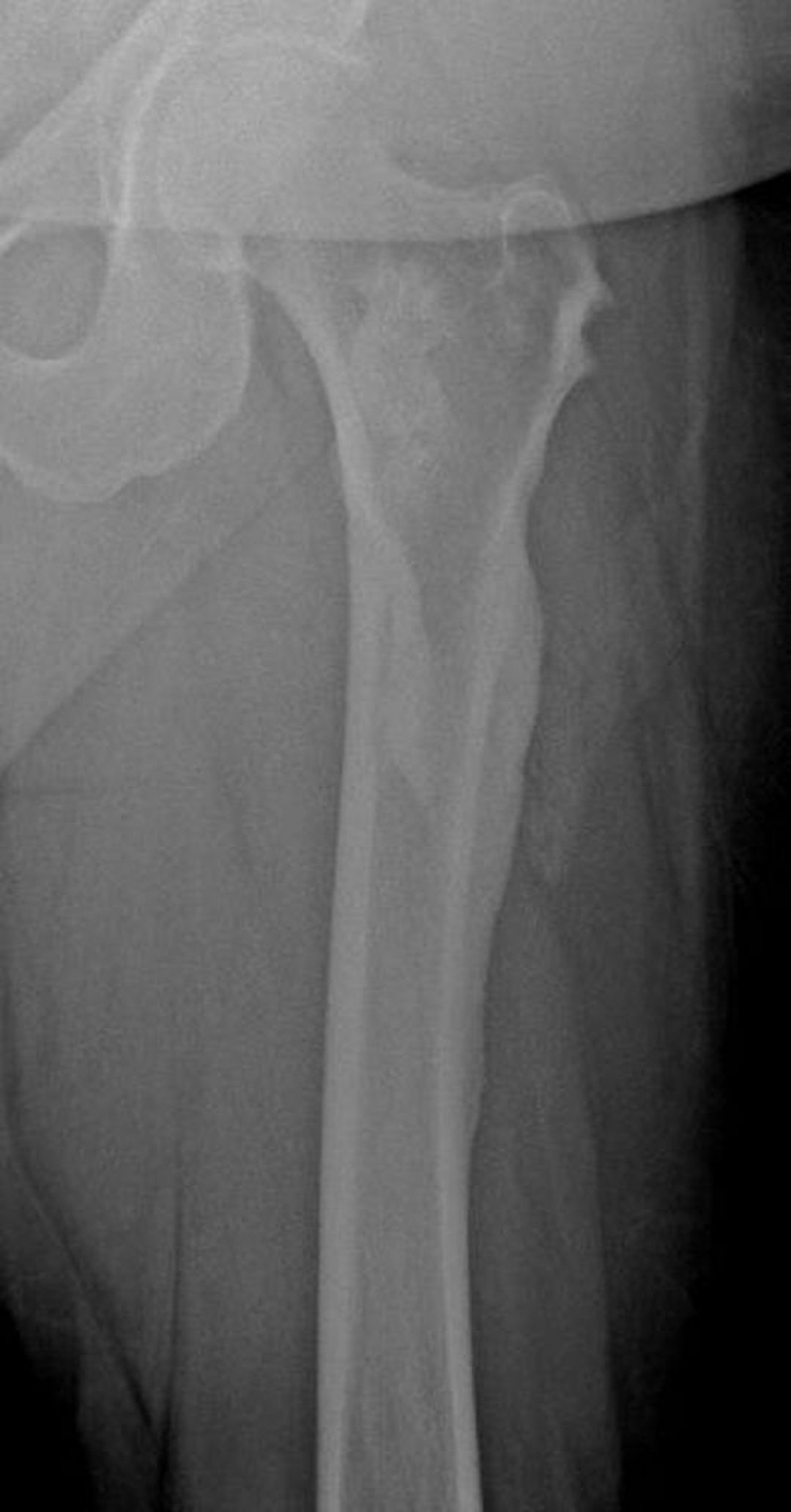
Melorreostosis (cera de vela que gotea)
Esta radiografía muestra la apariencia de "vela goteando cera" de la melorreostosis del fémur; es particularmente evidente en la corteza femoral lateral.
Image courtesy of Michael J. Joyce, MD, and David M. Joyce, MD.
En estos temas
