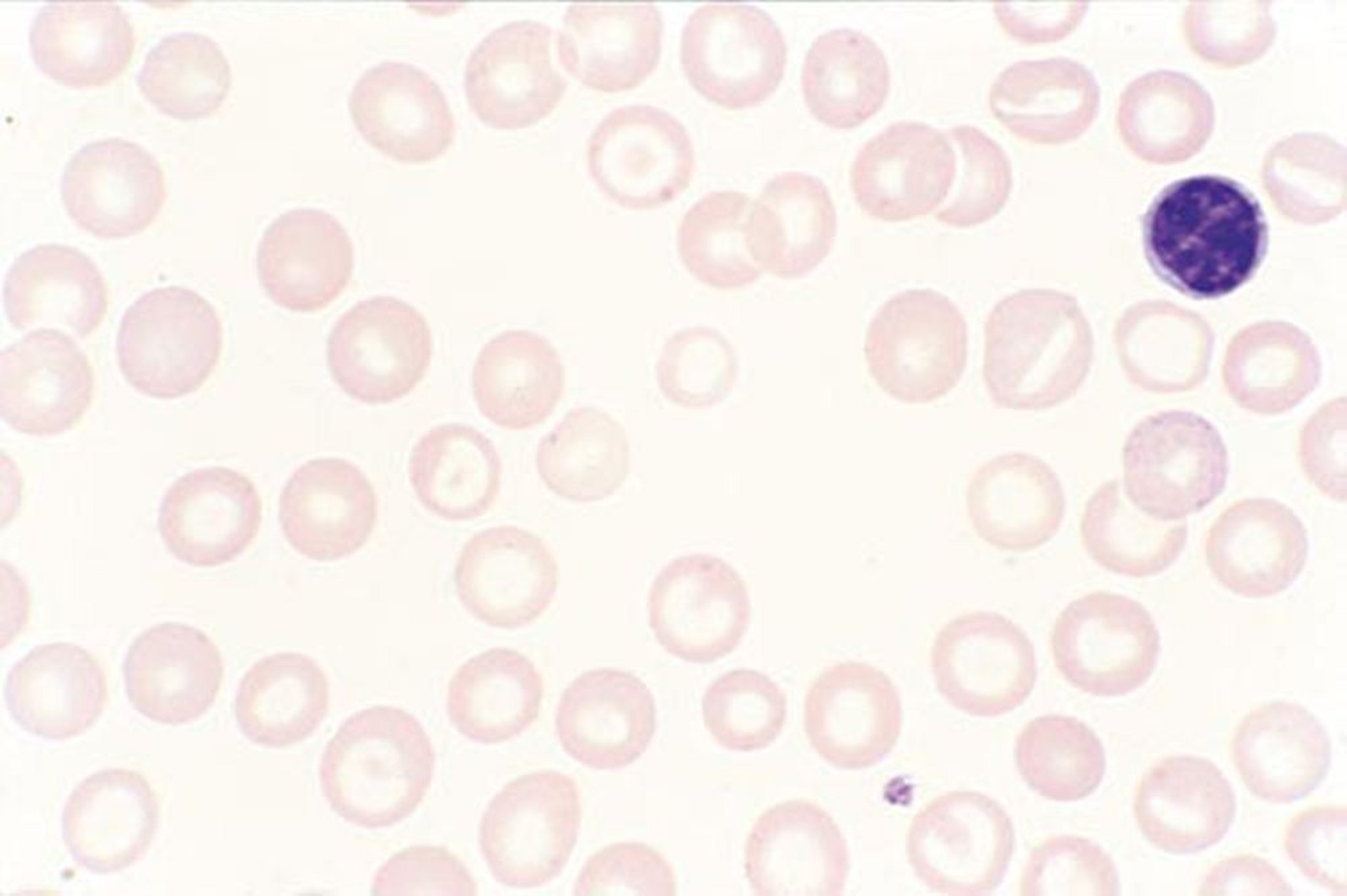
Macrocitosis en la hepatopatía
Esta imagen muestra anemia macrocítica no nutricional que no es inducida por fármacos. La morfología redonda de los eritrocitos, a diferencia de la macrocitosis oval, sugiere una enfermedad hepática con exceso de membrana de los eritrocitos; las células diana (en blanco de tiro) también son evidentes.
By permission of the publisher. From Tefferi A, Li C. In Atlas of Clinical Hematology. Edited by JO Armitage. Philadelphia, Current Medicine, 2004.
En estos temas
