Luxación de la rótula (radiografía)
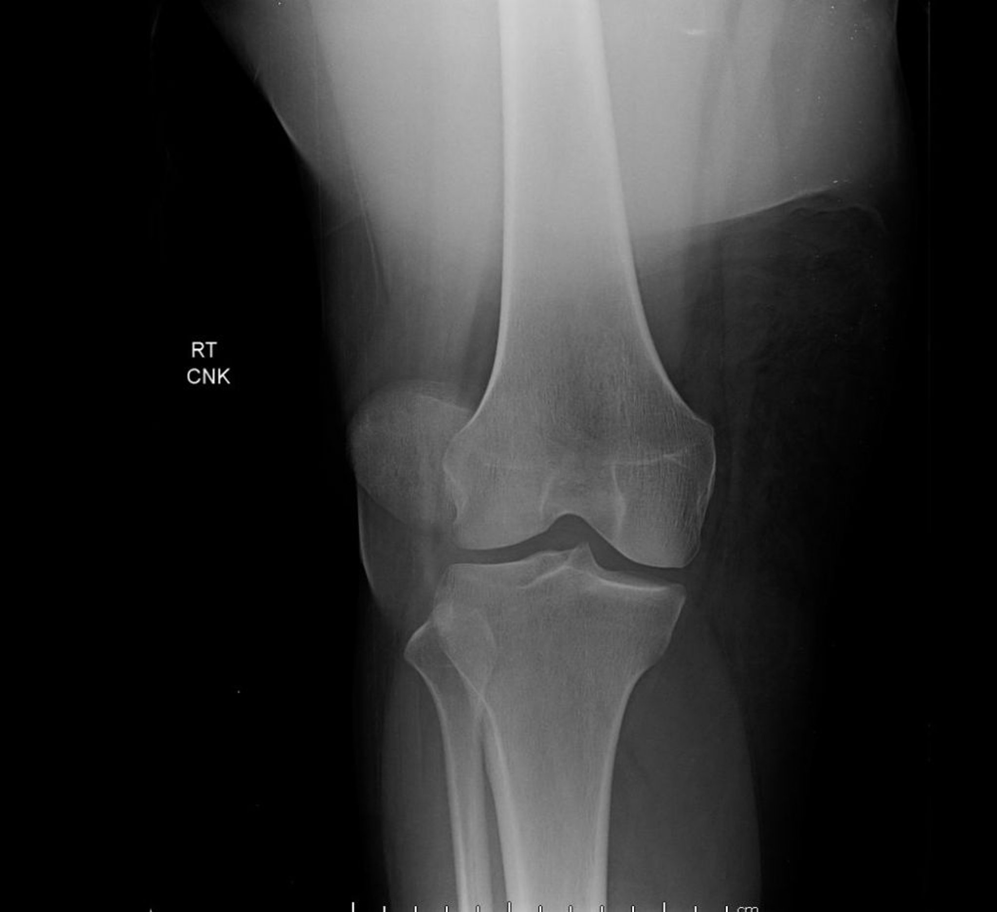
Esta vista anteroposterior de la rodilla muestra una luxación rotuliana, caracterizada por un desplazamiento lateral extremo de la rótula, fuera de su ubicación normal entre los cóndilos femorales.
Image courtesy of Danielle Campagne, MD.
En estos temas
