Linfoma de Burkitt relacionado con la inmunodeficiencia
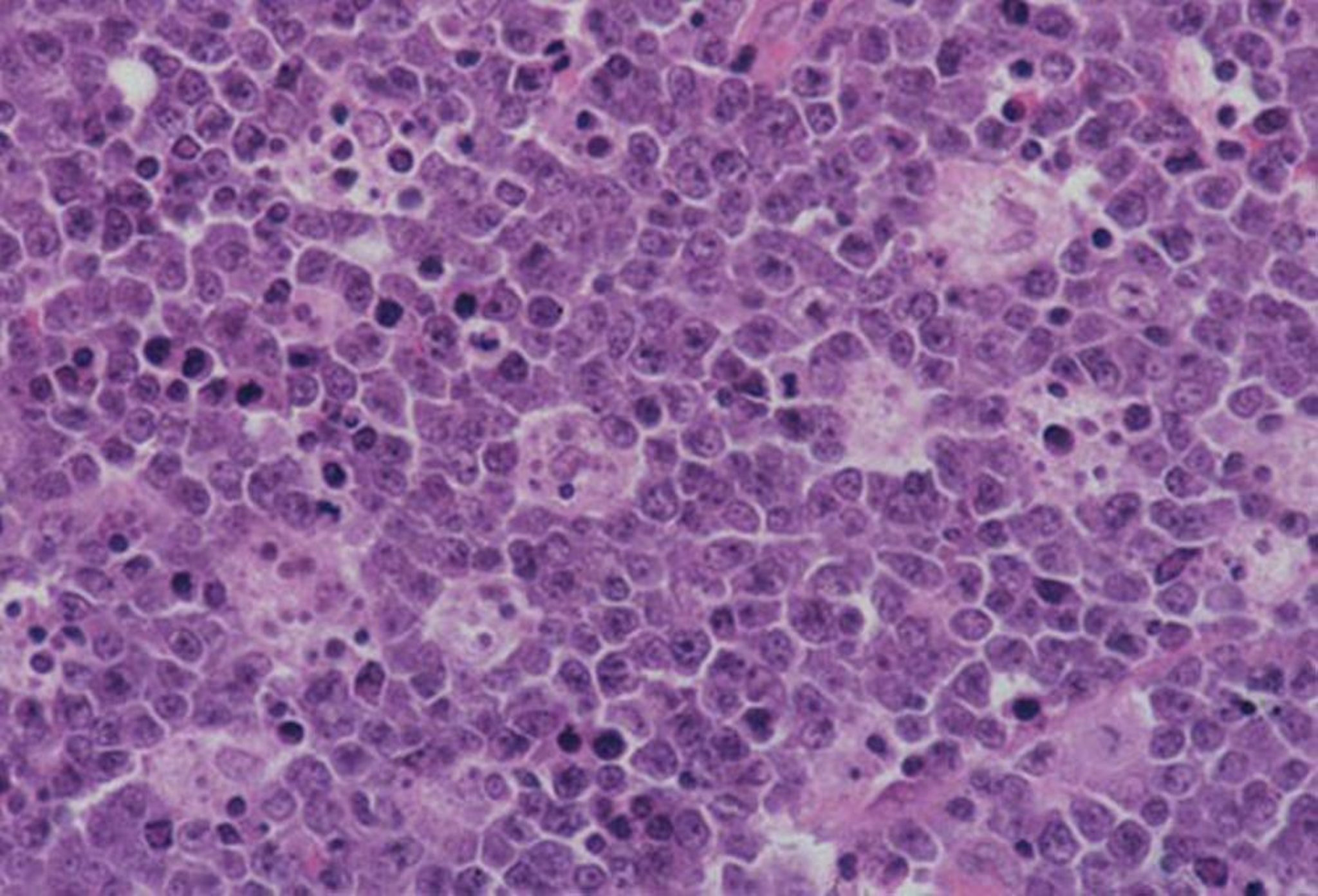
Al igual que en los pacientes que no tienen una inmunodeficiencia, el linfoma de Burkitt tiene un aspecto de "cielo estrellado" debido a los numerosos macrófagos que contienen restos (que indican un rápido recambio celular). El tumor también tiene una alta tasa de mitosis.
By permission of the publisher. From Banks P, et al. In Atlas of Clinical Hematology. Edited by JO Armitage. Philadelphia, Current Medicine, 2004. Available at www.images.md.
En estos temas
