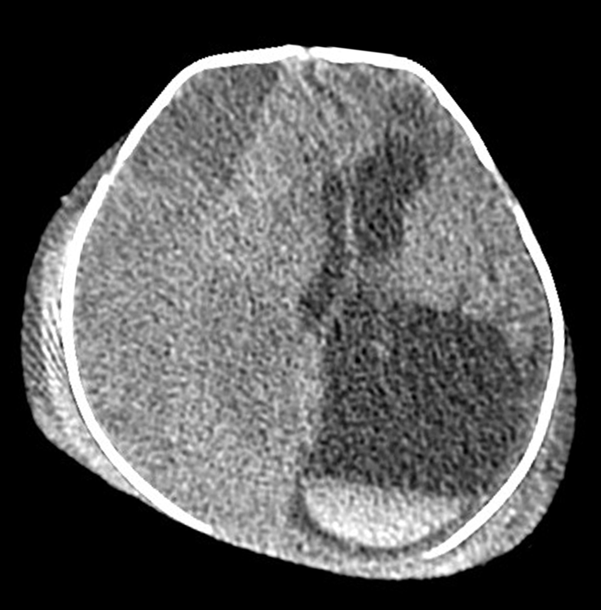
Lesiones extensas en un recién nacido (TC) relacionadas con el nacimiento
Esta TC axial (transversal) de la cabeza de un recién nacido muestra una lesión extracraneal e intracraneal extensa secundaria a una lesión grave relacionada con el nacimiento. Se observa edema bilateral/hematoma en el cuero cabelludo. Hay un hematoma subdural isodenso (subagudo) muy grande a lo largo del hemisferio cerebral derecho, que causa herniación cerebral a través de la línea media. El hematoma produce agrandamiento del ventrículo lateral izquierdo. En la parte inferior derecha de la imagen se observa una formación aguda en capas de sangre acumulada en la parte inferior del ventrículo lateral izquierdo (material blanco con una línea recta).
Living Art Enterprises, LLC/SCIENCE PHOTO LIBRARY
En estos temas
