Infarto lacunar
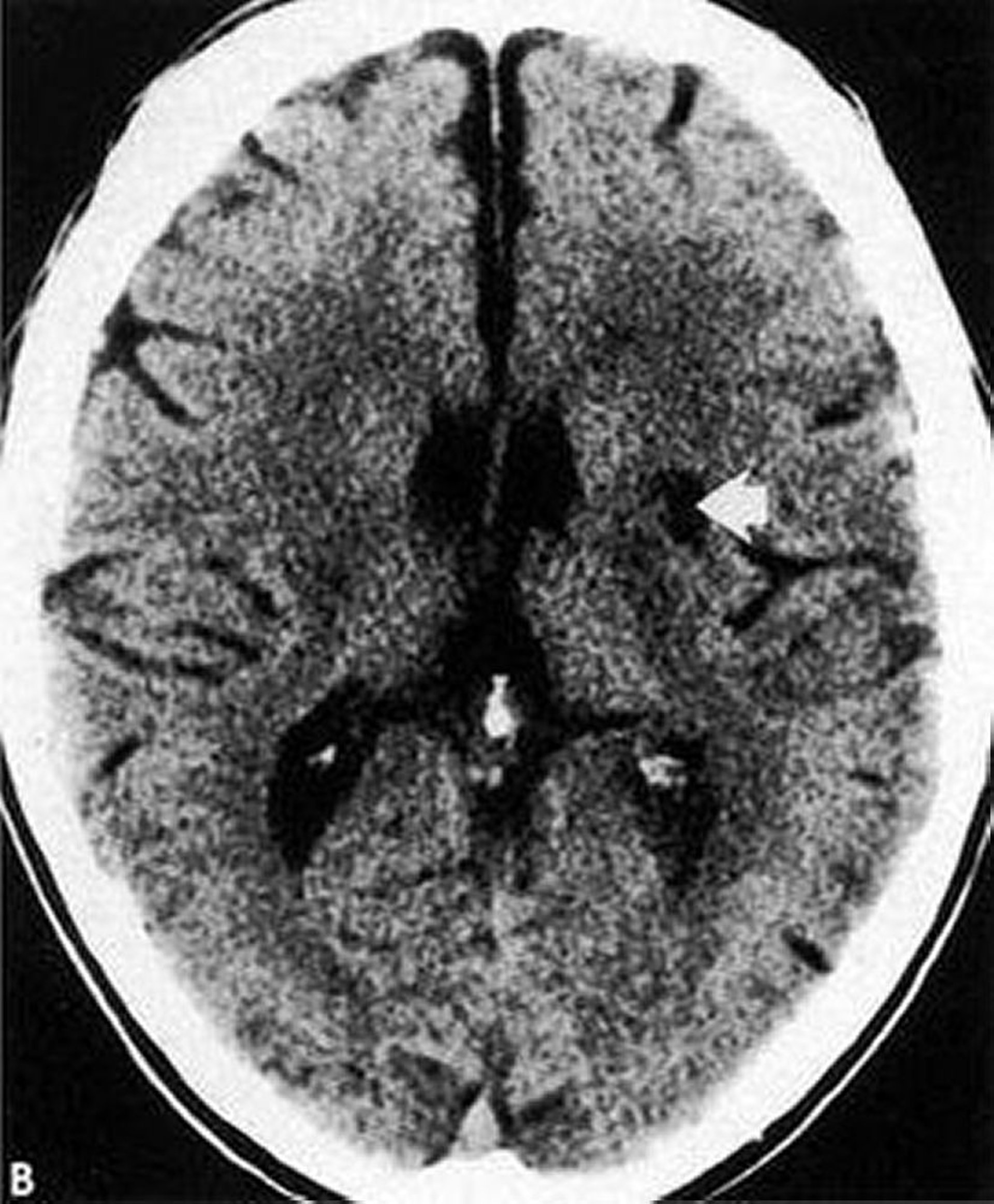
Esta TC muestra un infarto lacunar de baja densidad bien definido (flecha) dentro de los ganglios basales.
By permission of the publisher. From Geremia G, Greenlee W. In Atlas of Cerebrovascular Disease. Edited by PB Gorelick and MA Sloan. Philadelphia, Current Medicine, 1996.
En estos temas
