Hiperoxaluria
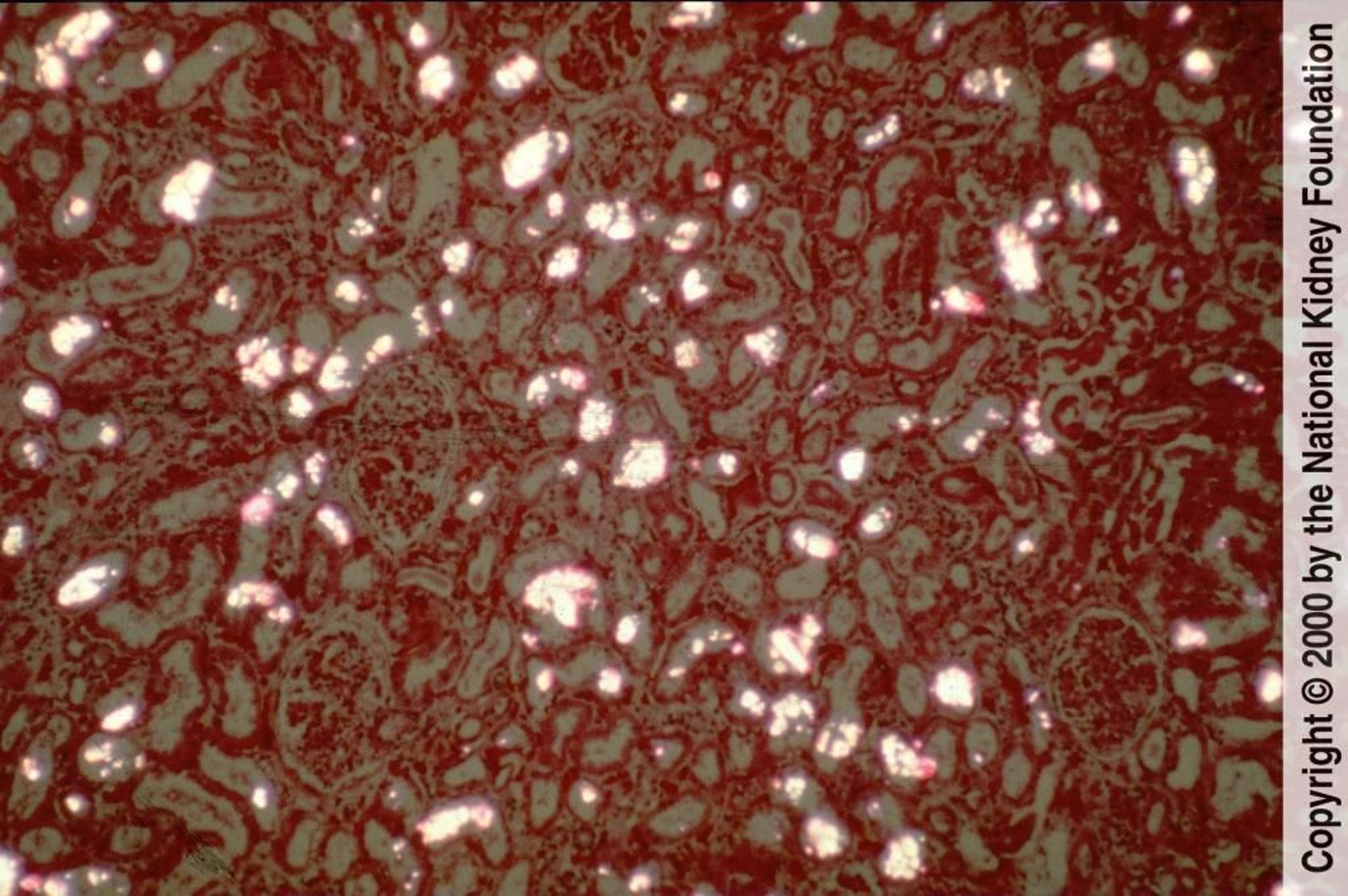
Los cristales de oxalato de calcio precipitan en los túbulos renales y son fácilmente visibles como cristales birrefringentes y en forma de abanico o de pila de hojas capa bajo luz polarizada (tinción de hematoxilina-eosina con luz polarizada, ×100).
Image provided by Agnes Fogo, MD, and the American Journal of Kidney Diseases' Atlas of Renal Pathology (véase www.ajkd.org).
En estos temas
