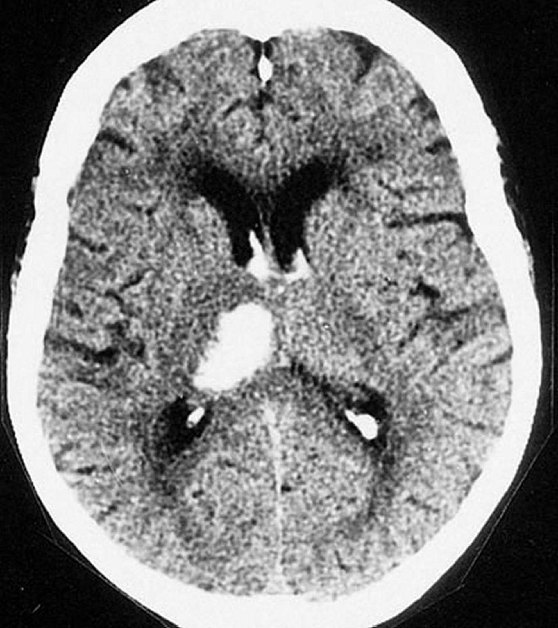
Hemorragia intracerebral talámica
Esta TC muestra una hemorragia en el tálamo. Las hemorragias intracerebrales suelen ocurrir en el tálamo y dentro de los ganglios basales.
By permission of the publisher. From Furie K, et al. In Atlas of Clinical Neurology. Edited by RN Rosenberg. Philadelphia, Current Medicine, 2002.
En estos temas
