Hemorragia de la cámara anterior (hifema)
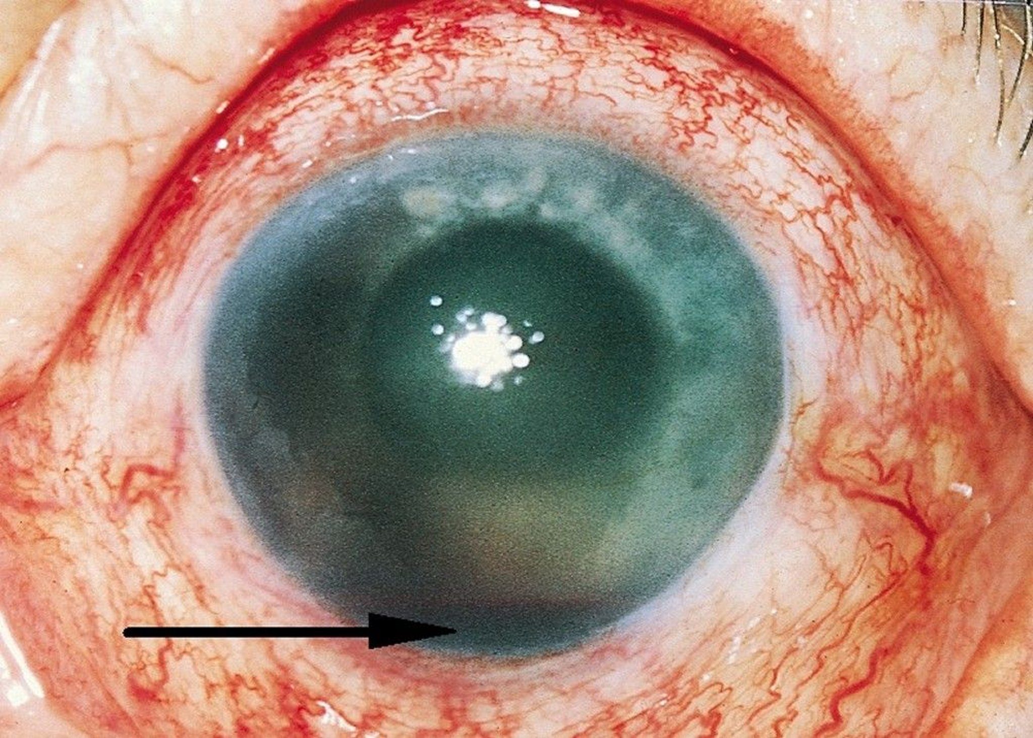
Este paciente tiene un hifema traumático (flecha) y una inyección conjuntival secundario a una lesión traumática en el ojo.
© Springer Science+Business Media
En estos temas
Este paciente tiene un hifema traumático (flecha) y una inyección conjuntival secundario a una lesión traumática en el ojo.
© Springer Science+Business Media