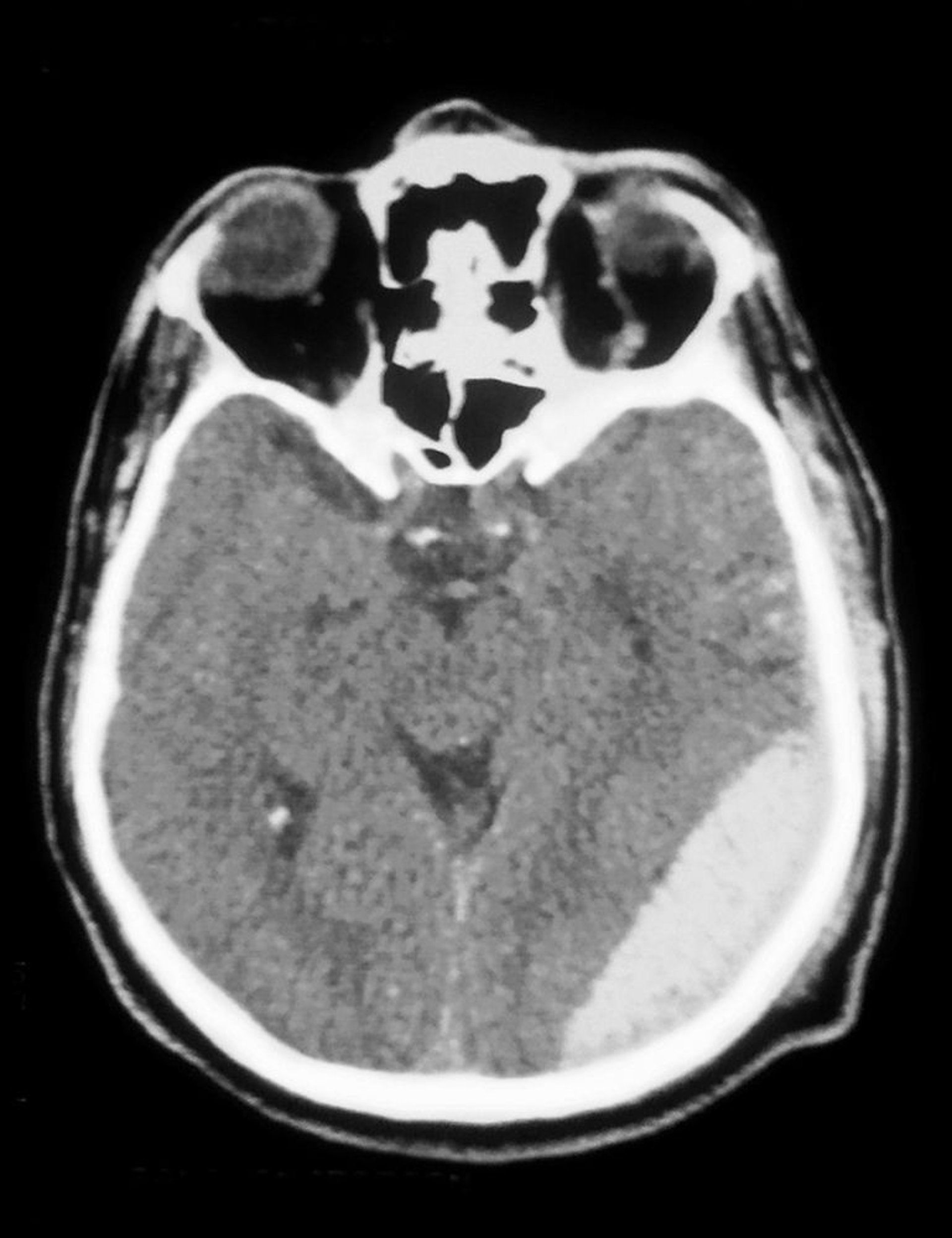
Hematoma epidural
La TC muestra un hematoma epidural (opacidad en la parte inferior derecha).
Cavallini James/BSIP/SCIENCE PHOTO LIBRARY
En estos temas
La TC muestra un hematoma epidural (opacidad en la parte inferior derecha).
Cavallini James/BSIP/SCIENCE PHOTO LIBRARY