Hallazgos en la resonancia magnética de la sarcoidosis cardíaca
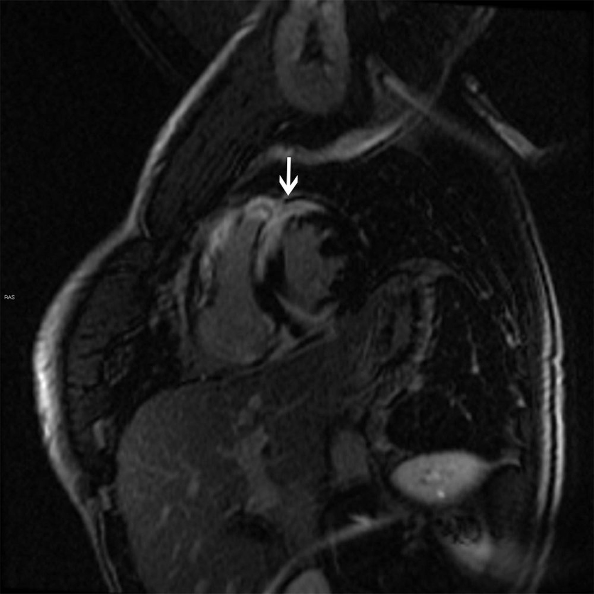
Esta resonancia magnética cardíaca muestra un patrón de realce transmural tardío con gadolinio en parches (flecha) característico de la sarcoidosis, que puede causar una miocardiopatía dilatada o hipertrófica.
© 2017 Elliot K. Fishman, MD.
En estos temas
