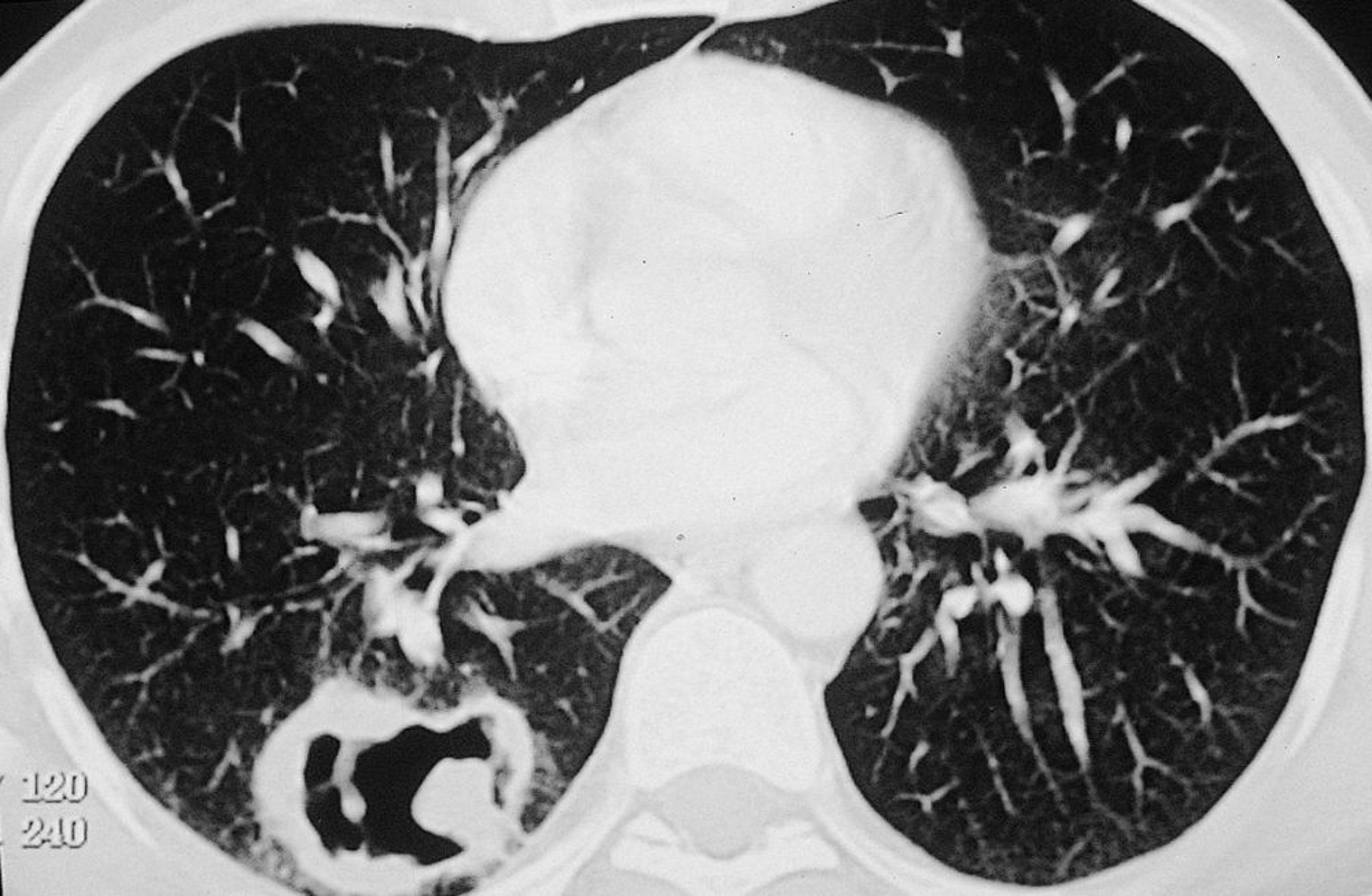
Granulomatosis con poliangeítis (lesión pulmonar)
Lesión cavitaria grande en el pulmón derecho en un paciente con granulomatosis con poliangeítis.
© Springer Science+Business Media
En estos temas
Lesión cavitaria grande en el pulmón derecho en un paciente con granulomatosis con poliangeítis.
© Springer Science+Business Media