Glomerulosclerosis focal y segmentaria
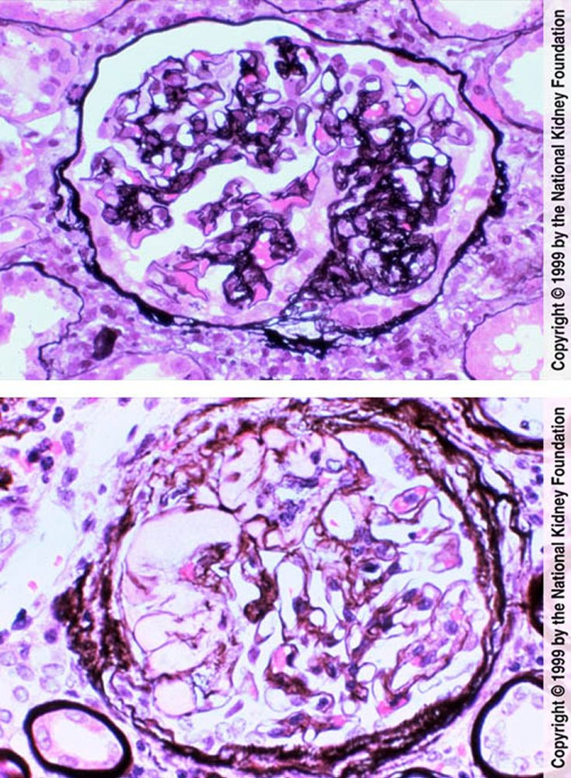
La imagen superior muestra el lado derecho del glomérulo. El glomérulo, esclerótico en varios segmentos, está compuesto por luces capilares obliteradas y una mayor cantidad de matriz mesangial. El resto del glomérulo es normal (tinción de plata de Jones, ×400). En la imagen inferior, la hialina, definida como un material liso de aspecto vítreo y liso, es el resultado de la insudación (lo opuesto a la exudación) de las proteínas plasmáticas. Ocurre con frecuencia y no es diagnóstica (tinción de plata de Jones, ×400).
Image provided by Agnes Fogo, MD, and the American Journal of Kidney Diseases' Atlas of Renal Pathology (véase www.ajkd.org).
En estos temas
