Glioblastoma
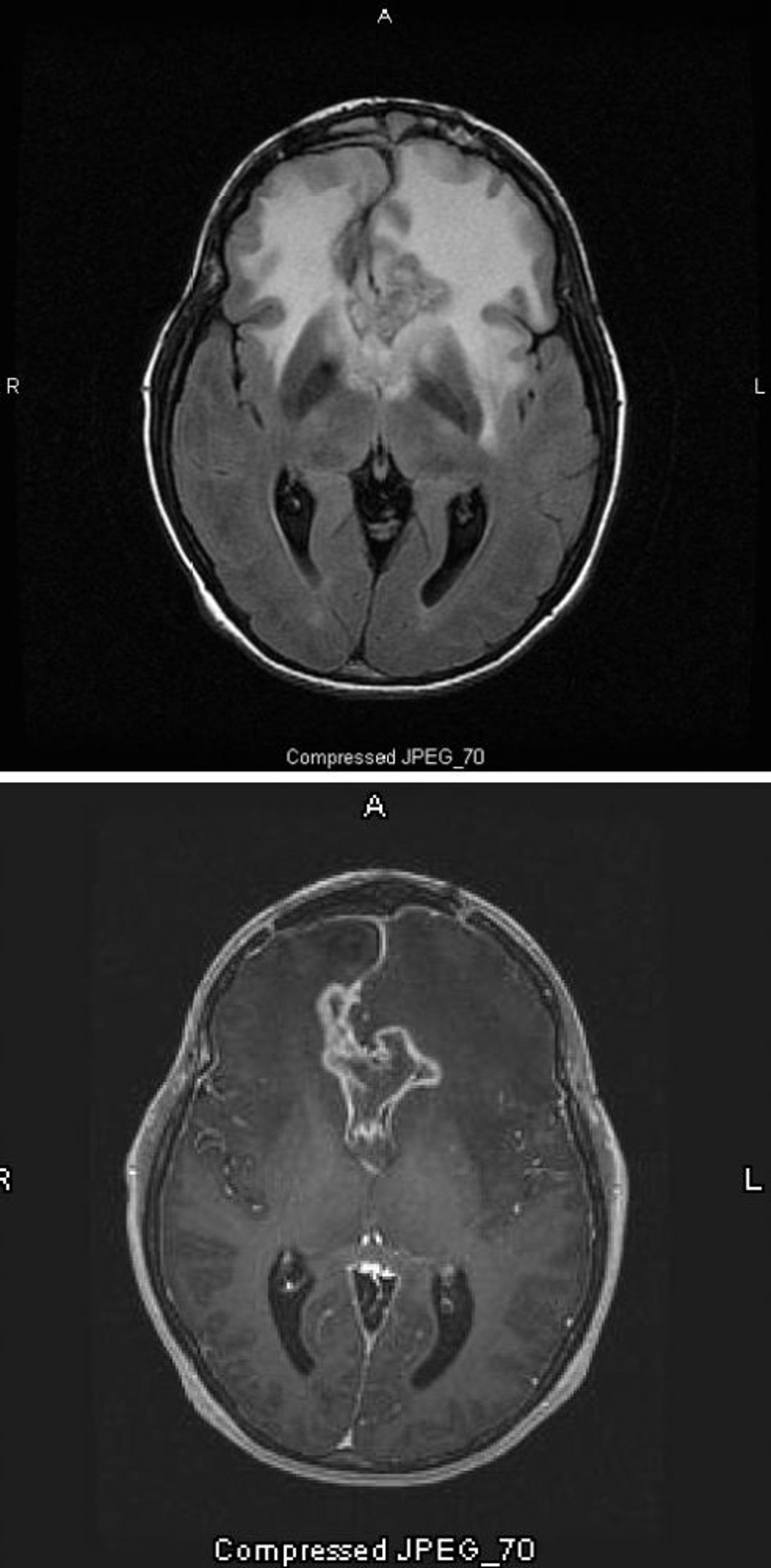
La resonancia magnética T2-FLAIR (arriba) muestra una gran señal blanca bilateral (hiperdensidad) alrededor de un glioblastoma, que es el astrocitoma de mayor grado y más maligno. Este glioblastoma en particular se denomina glioma en mariposa porque la señal blanca alrededor del tumor tiene la forma de las alas de una mariposa; es causado por el edema cerebral. En el estudio ponderado en T1 (abajo), el contraste delinea el borde del tumor (refuerzo anular). El edema aparece como un área oscura (hipointensidad) en T1.
Images courtesy of William R. Shapiro, MD.
En estos temas
