Gangrena de Fournier (Radiografía abdominal)
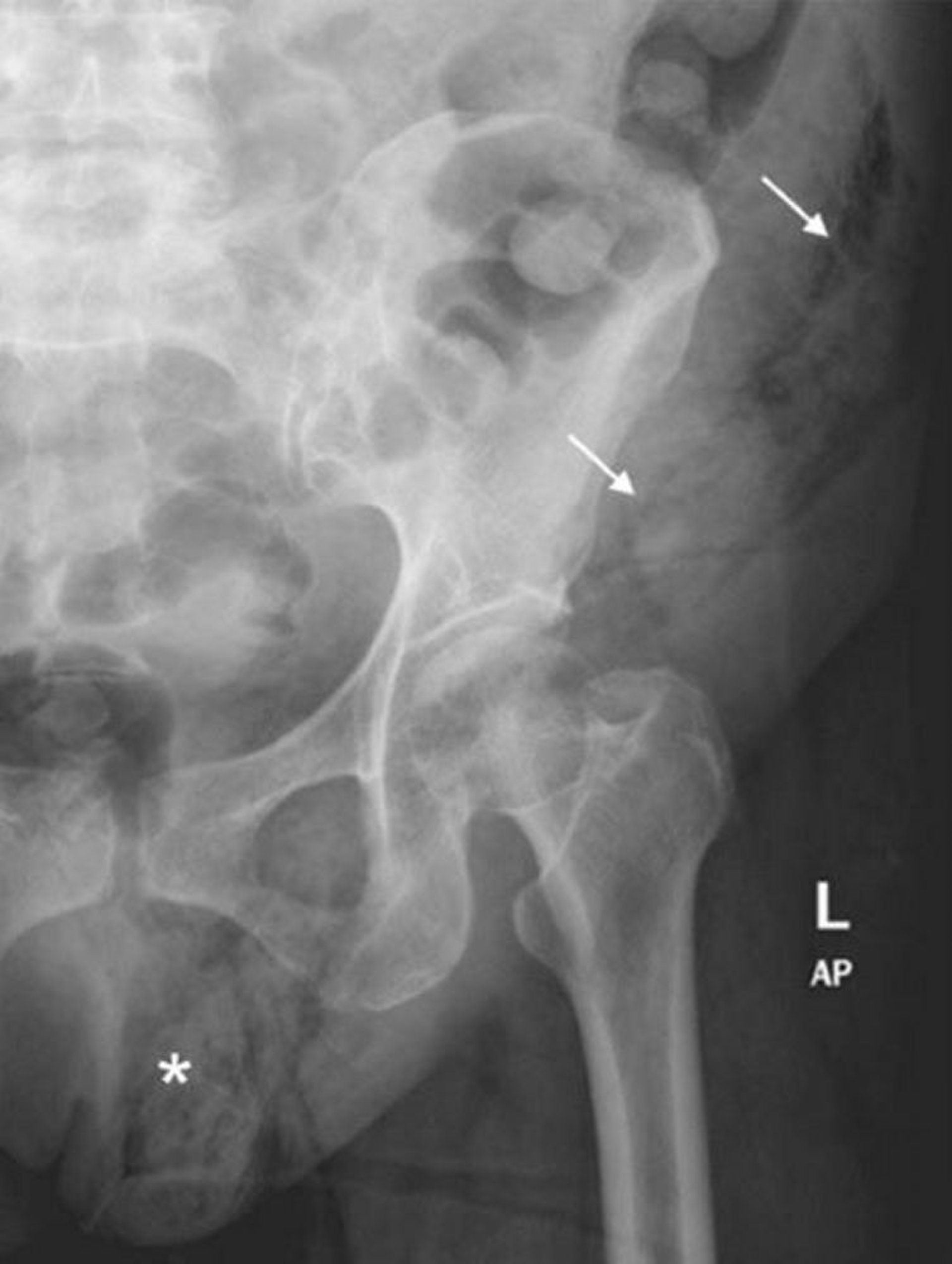
Esta radiografía abdominal muestra una extensión de gas en los tejidos blandos desde el hemiscroto izquierdo (*) hasta la pared abdominal izquierda (flechas).
© Springer Science+Business Media
En estos temas
