Fractura del fémur del conducto medio (1)
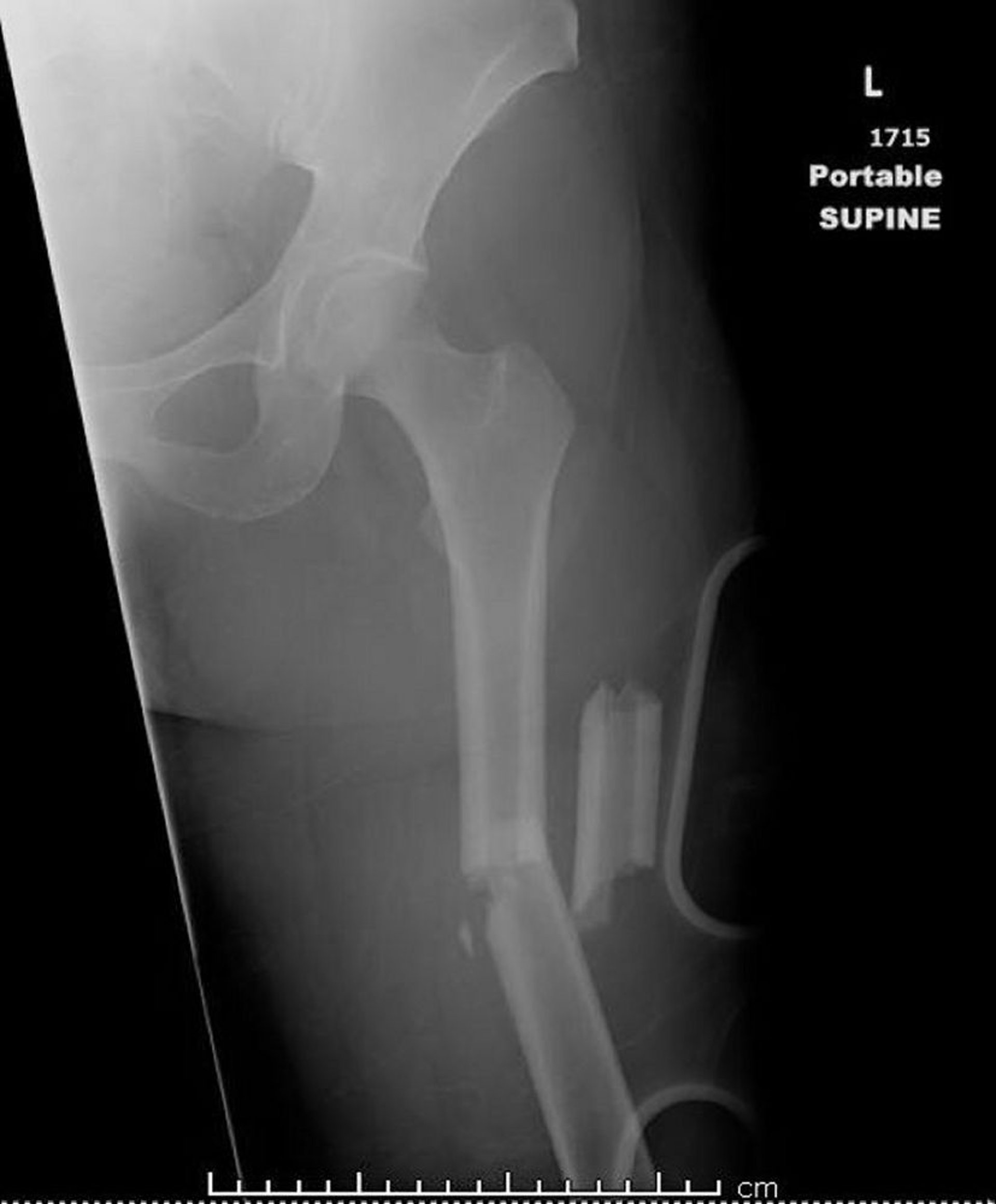
Esta imagen muestra una fractura conminuta angulada del tercio medio de la diáfisis femoral, que está acortada.
Image courtesy of Danielle Campagne, MD.
Esta imagen muestra una fractura conminuta angulada del tercio medio de la diáfisis femoral, que está acortada.
Image courtesy of Danielle Campagne, MD.