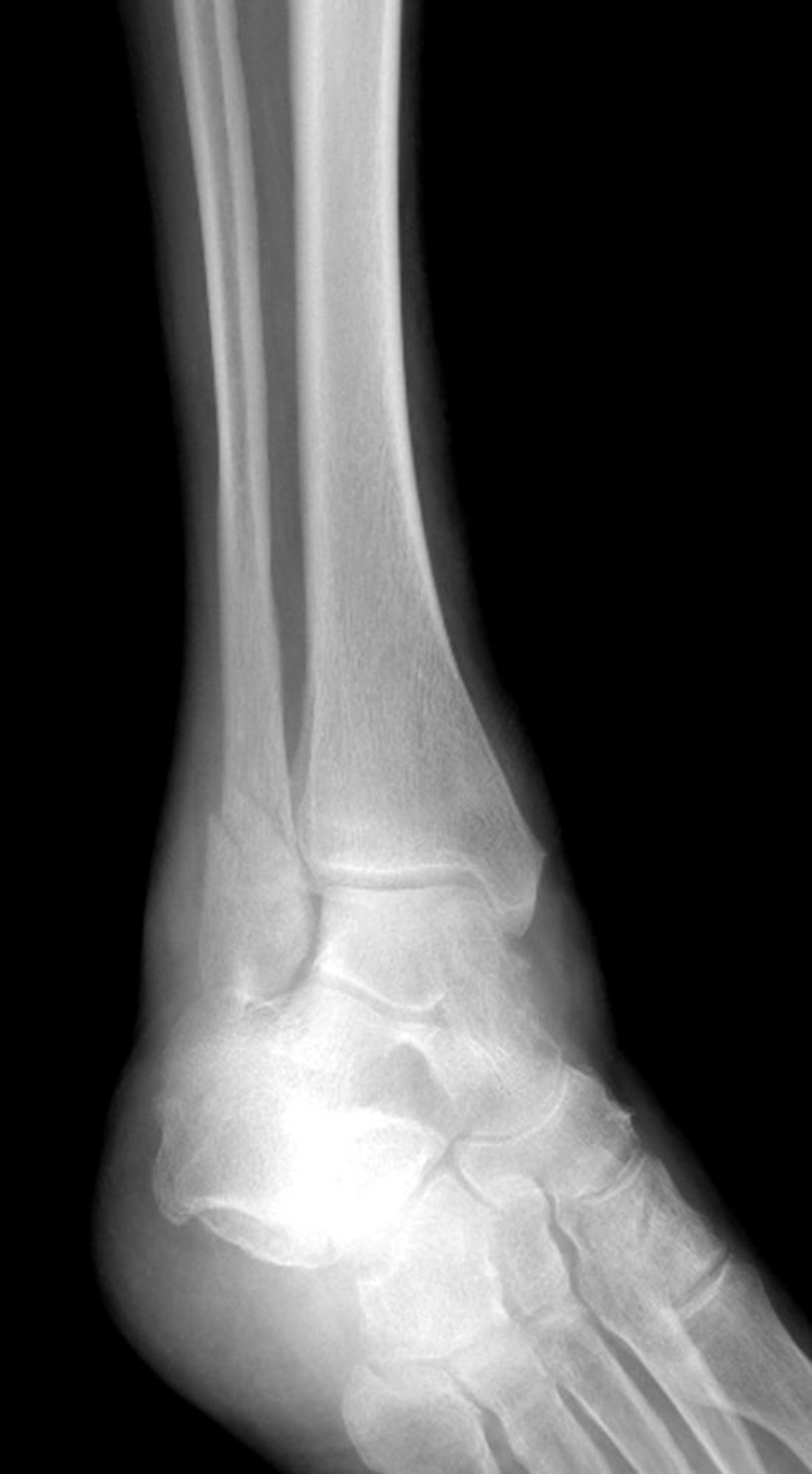
Fractura de un maléolo lateral
Esta fractura de tobillo afecta el maléolo lateral, pero respeta el maléolo medial.
LIVING ART ENTERPRISES, LLC/SCIENCE PHOTO LIBRARY
En estos temas
Esta fractura de tobillo afecta el maléolo lateral, pero respeta el maléolo medial.
LIVING ART ENTERPRISES, LLC/SCIENCE PHOTO LIBRARY