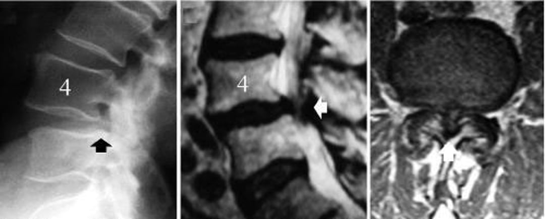
Estenosis de las vértebras lumbares causada por espondilolistesis degenerativa de L4-L5
La imagen de la izquierda es una radiografía lateral de la columna lumbar que muestra el deslizamiento de la vértebra L4 (flecha negra: el borde posterior del cuerpo vertebral L5 no se alinea con el de L4). La imagen en el medio es una RM mediosagital que muestra la compresión de las estructuras neurales (flecha blanca). La imagen de la derecha es una RM que muestra una estenosis vertebral grave a nivel de la espondilolistesis degenerativa, L4-5 (flecha blanca).
© Springer Science+Business Media
En estos temas
