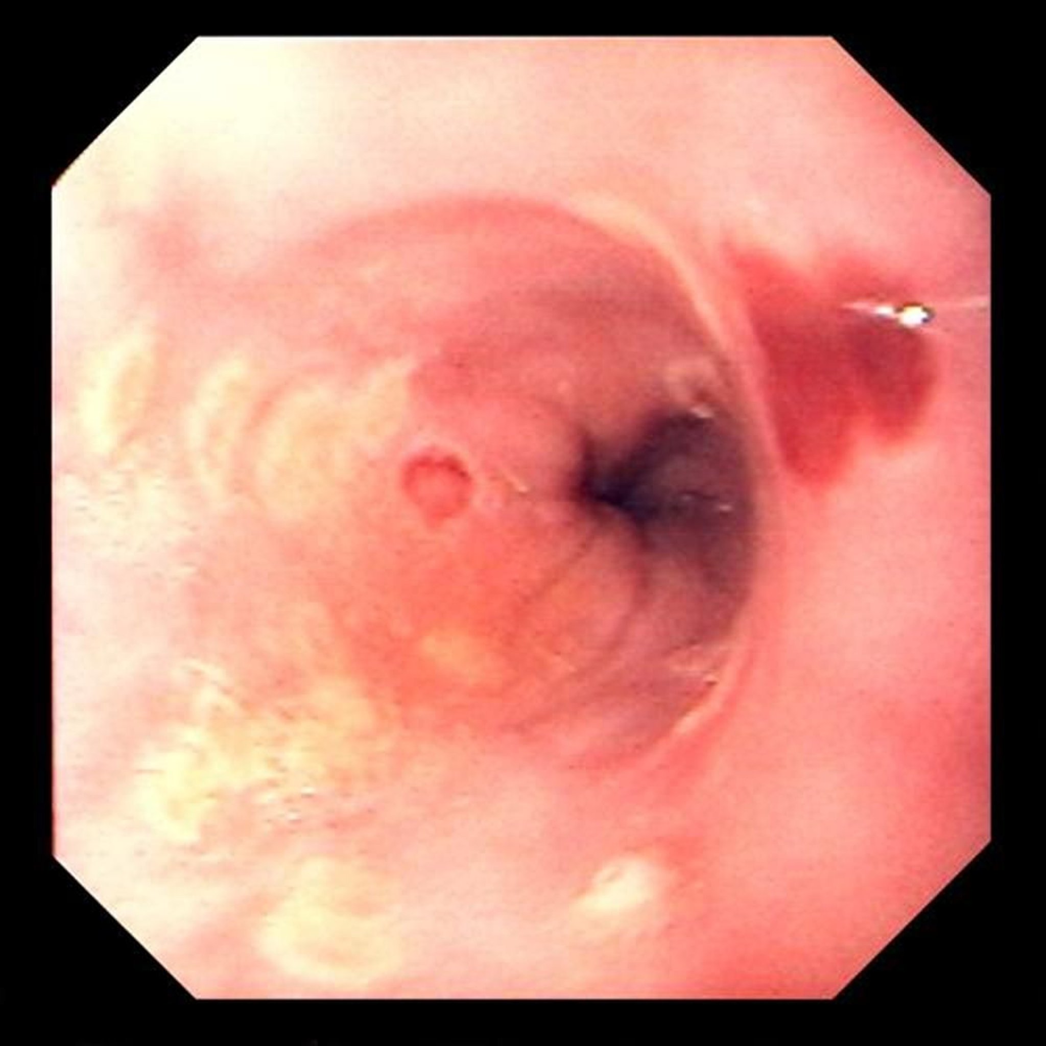
Esofagitis por herpes simple
Las ulceraciones focales son características de la esofagitis causada por el virus del herpes simple.
Image provided by David M. Martin, MD.
En estos temas
Las ulceraciones focales son características de la esofagitis causada por el virus del herpes simple.
Image provided by David M. Martin, MD.