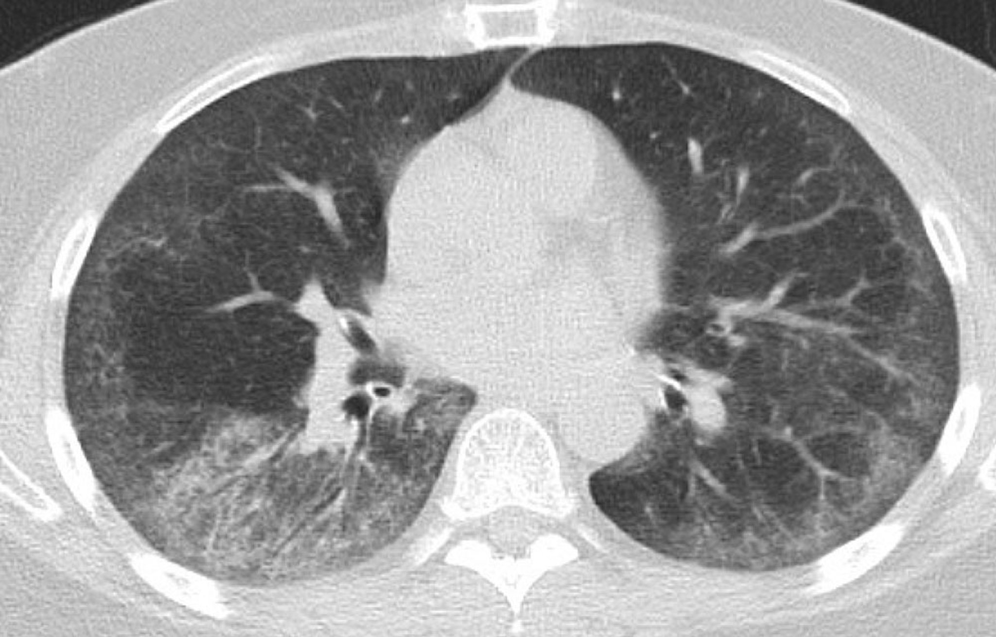
Enfermedad pulmonar intersticial (TC de tórax)
Esta TC muestra opacidades bilaterales simétricas en vidrio esmerilado en el lóbulo inferior con áreas de reticulación subpleural fina; bronquiectasias leves por tracción en ambos pulmones con preservación subpleural y algunos ganglios linfáticos torácicos dispersos.
Photo courtesy of Kinanah Yaseen, MD.
En estos temas
