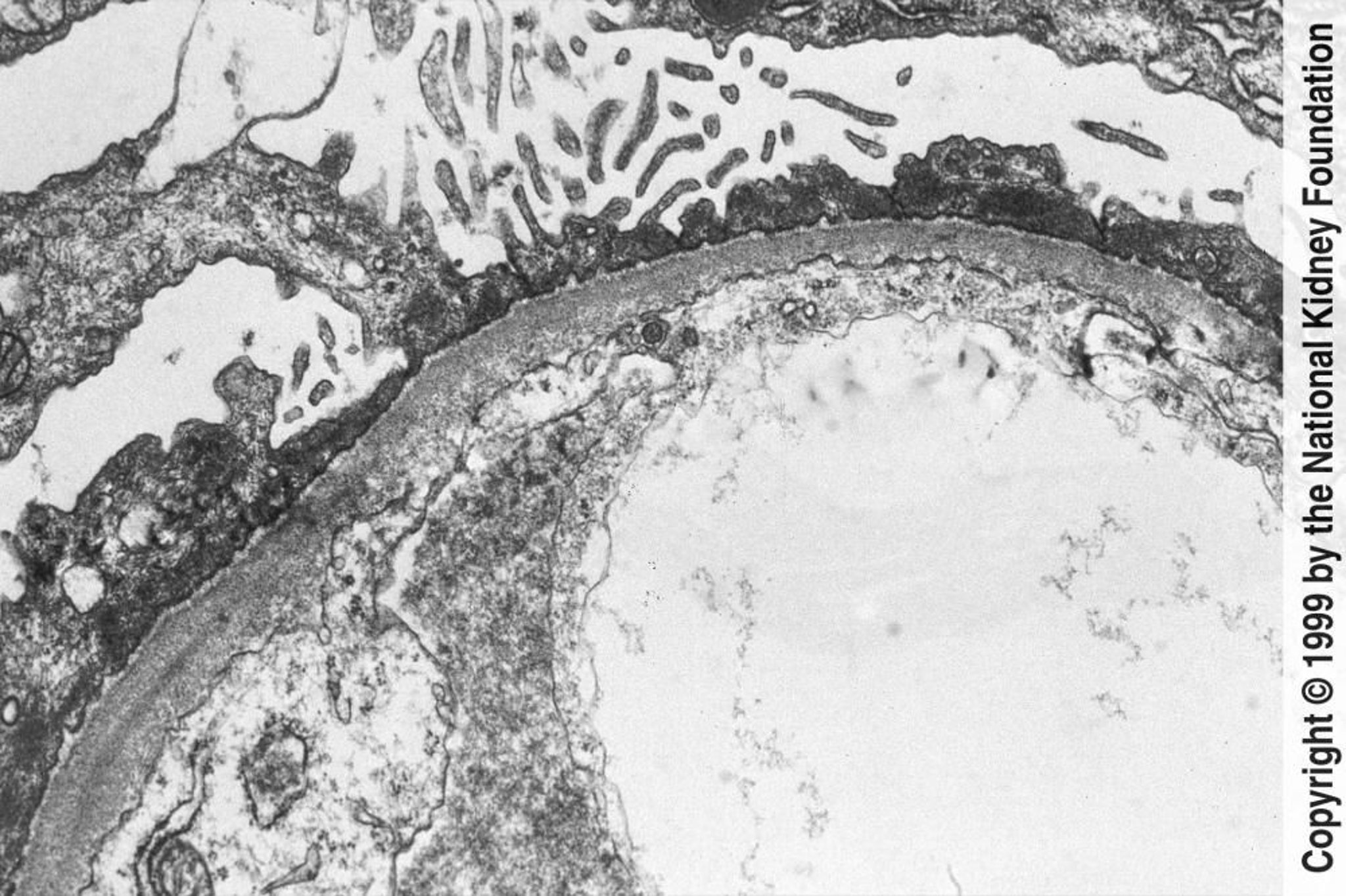
Enfermedad de cambios mínimos
En la microscopia electrónica de transmisión puede observarse el borramiento difuso de los pedicelos (×800).
Image provided by Agnes Fogo, MD, and the American Journal of Kidney Diseases' Atlas of Renal Pathology (véase www.ajkd.org).
En estos temas
