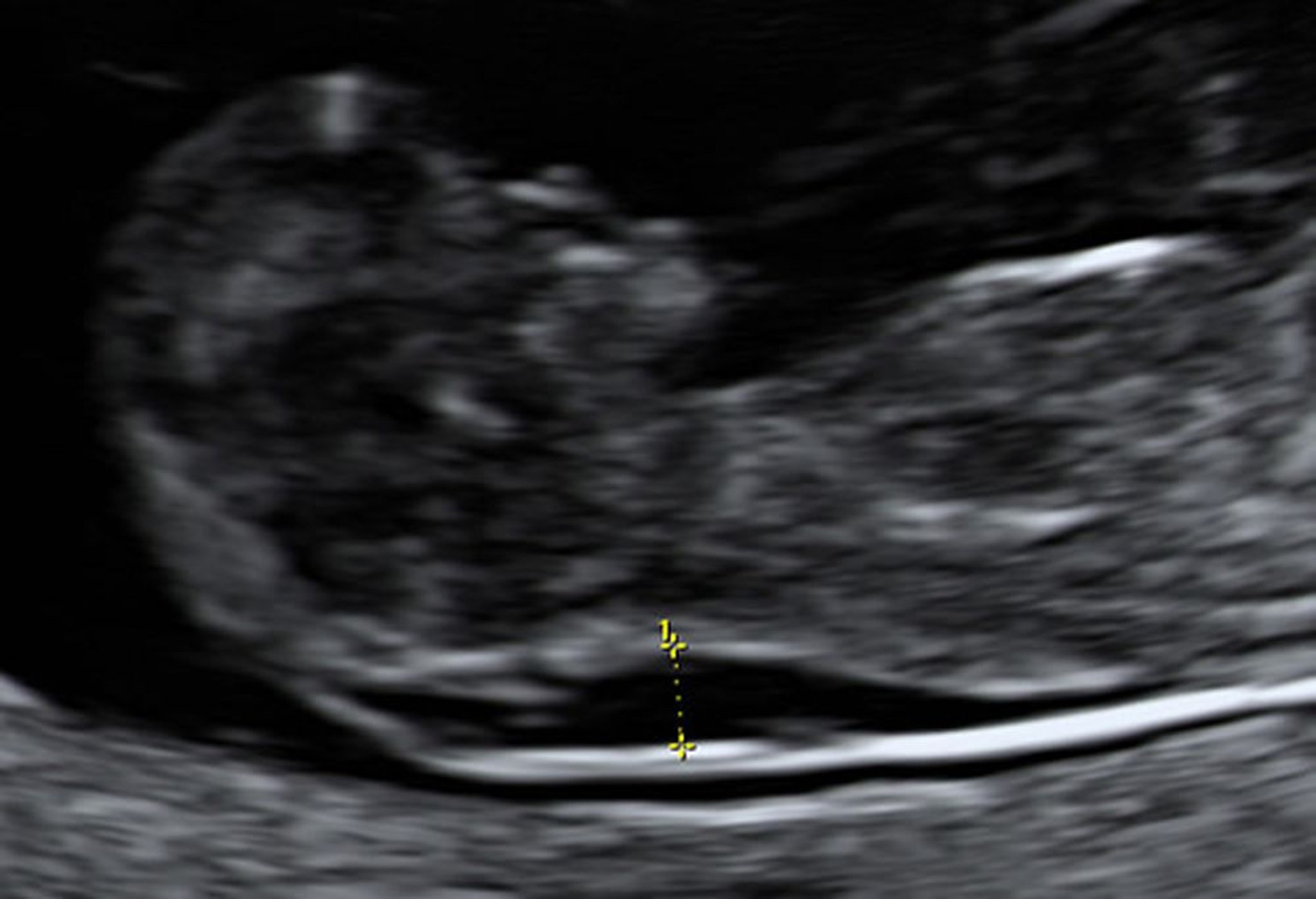
Ecografía que muestra aumento de la translucencia nucal en un feto a las 10 semanas
La biopsia de vellosidades coriónicas indicó que este feto tenía síndrome de Down.
Foto de Jeffrey S. Dungan, MD.
En estos temas
La biopsia de vellosidades coriónicas indicó que este feto tenía síndrome de Down.
Foto de Jeffrey S. Dungan, MD.