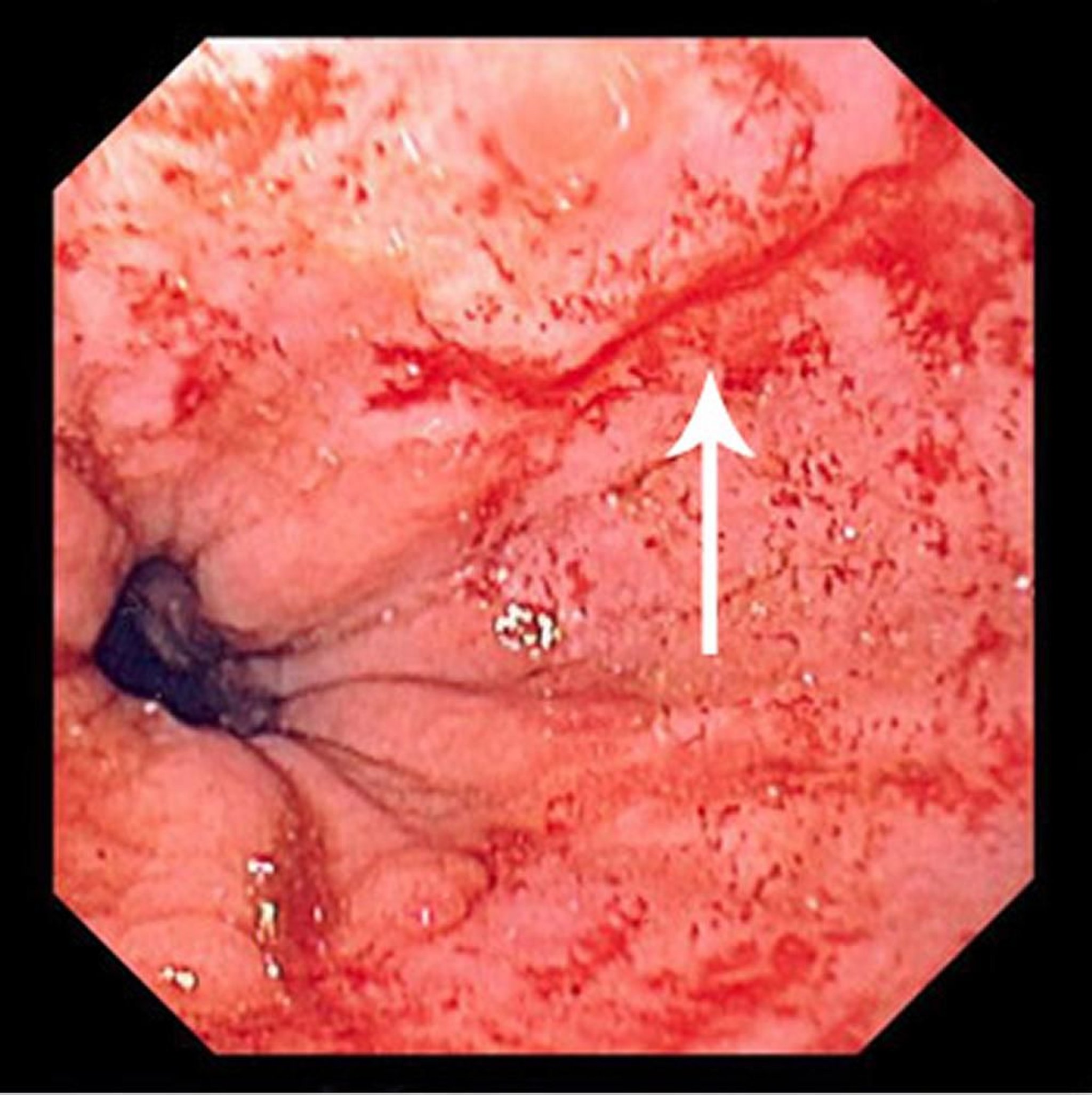
Desgarro de Mallory-Weiss
Esta imagen muestra un desgarro lineal delgado (flecha) que comienza inmediatamente por encima de la unión escamocilíndrica y se extiende en dirección proximal.
Image provided by David M. Martin, MD.
En estos temas
Esta imagen muestra un desgarro lineal delgado (flecha) que comienza inmediatamente por encima de la unión escamocilíndrica y se extiende en dirección proximal.
Image provided by David M. Martin, MD.