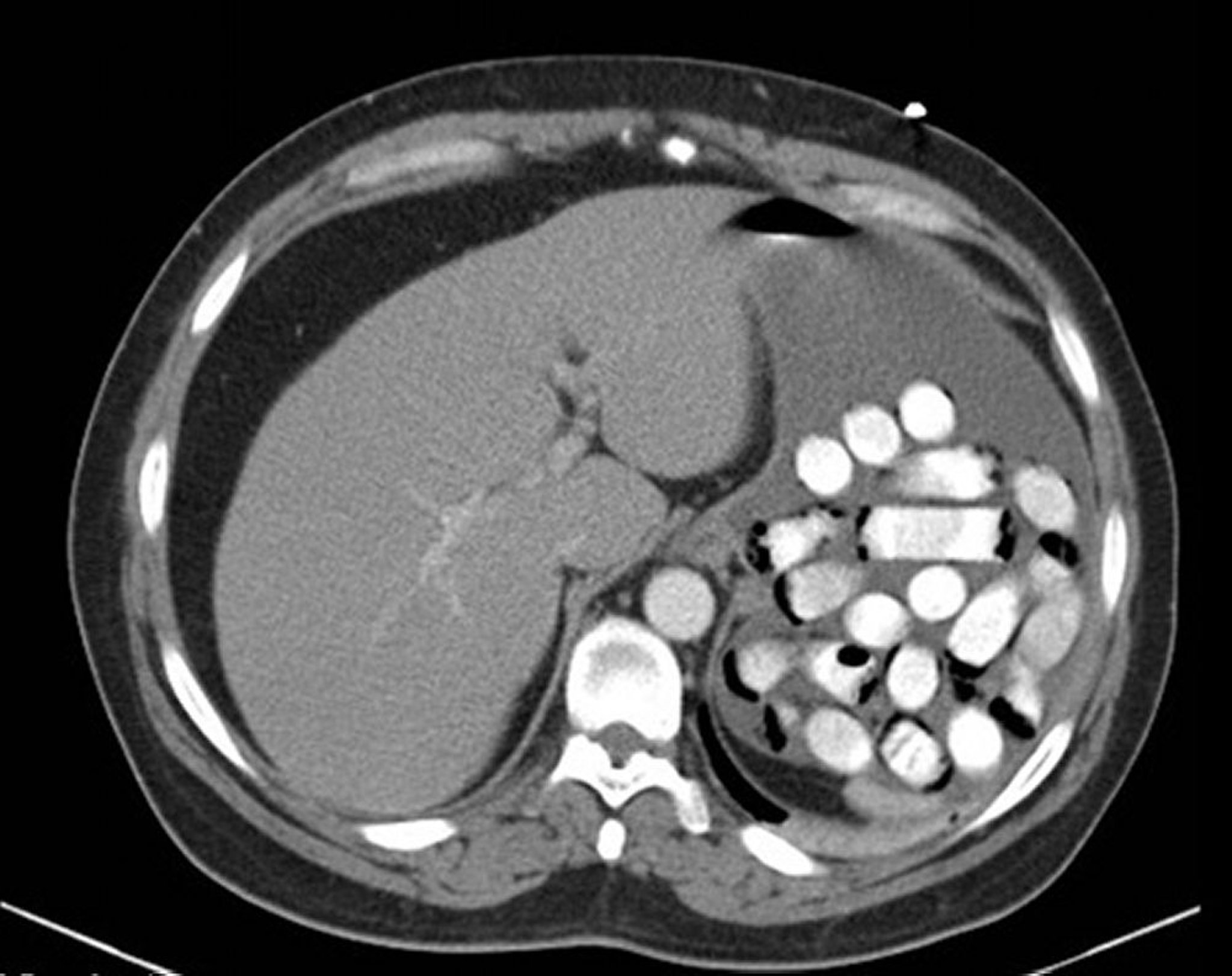
Cuerpo extraño en el estómago (TC)
Esta imagen muestra los paquetes de droga en el estómago.
Imagen proporcionada por Alan Gingold, DO.
En estos temas
Esta imagen muestra los paquetes de droga en el estómago.
Imagen proporcionada por Alan Gingold, DO.