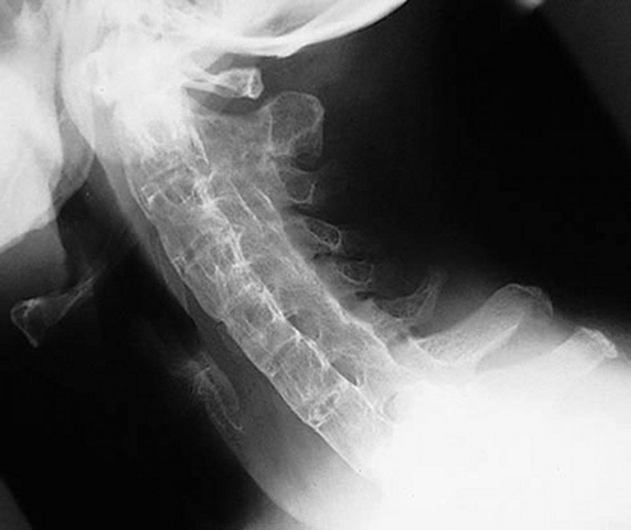
Columna de bambú en la espondilitis anquilosante
Vista lateral de la columna cervical de un paciente con espondilitis anquilosante grave y de larga evolución que muestra rigidez en la columna cervical. La columna está completamente anquilosada (“columna de bambú”) debido a la presencia de sindesmofitos, la fusión de las articulaciones cigapofisarias y la calcificación del ligamento paraespinal.
By permission of the publisher. From Asim Khan M: Atlas of Rheumatology. Edited by G Hunder. Philadelphia, Current Medicine, 2005.
En estos temas
