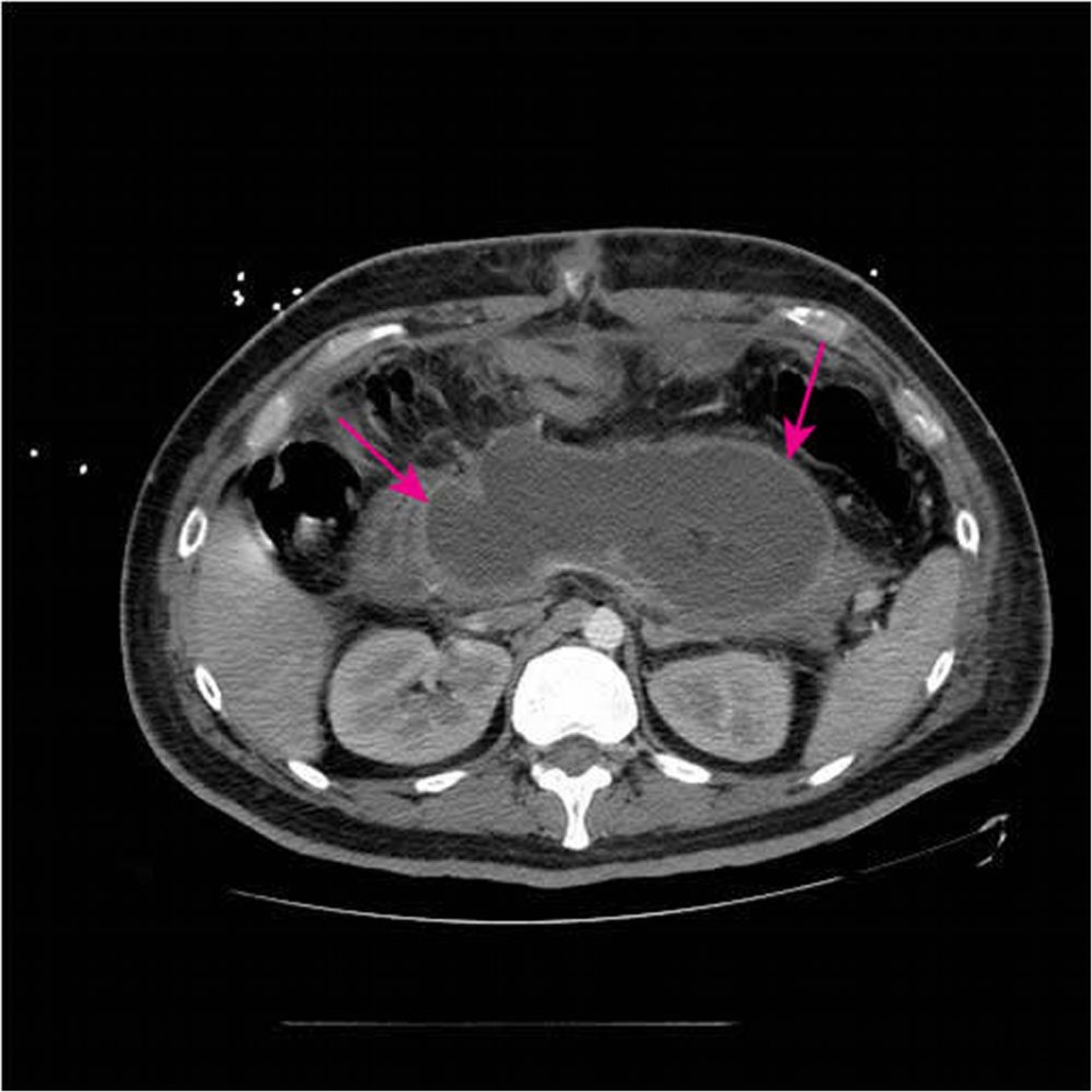
Colección necrosante aguda
Esta TC con contraste IV y oral muestra una gran colección necrosante aguda (flechas) que reemplaza la mayor parte del tejido pancreático < 4 semanas después de la presentación inicial de una pancreatitis necrosante.
Image courtesy of Sonam Rosberger, MD.
En estos temas
