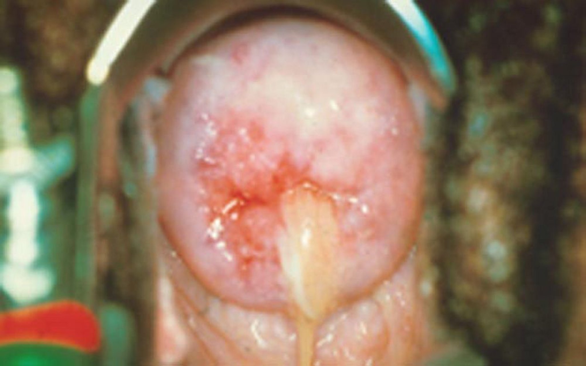
Cervicitis mucopurulenta
El orificio cervical está enrojecido e inflamado, y exuda una secreción espesa y amarillenta.
By permission of the publisher. Tomado de Goldfarb A. In Atlas of Clinical Gynecology: Pediatric and Adolescent Gynecology. Edited by M Stenchever (series editor) and AF Goldfarb. Philadelphia, Current Medicine, 1998.
En estos temas
