Cáncer de cuello uterino
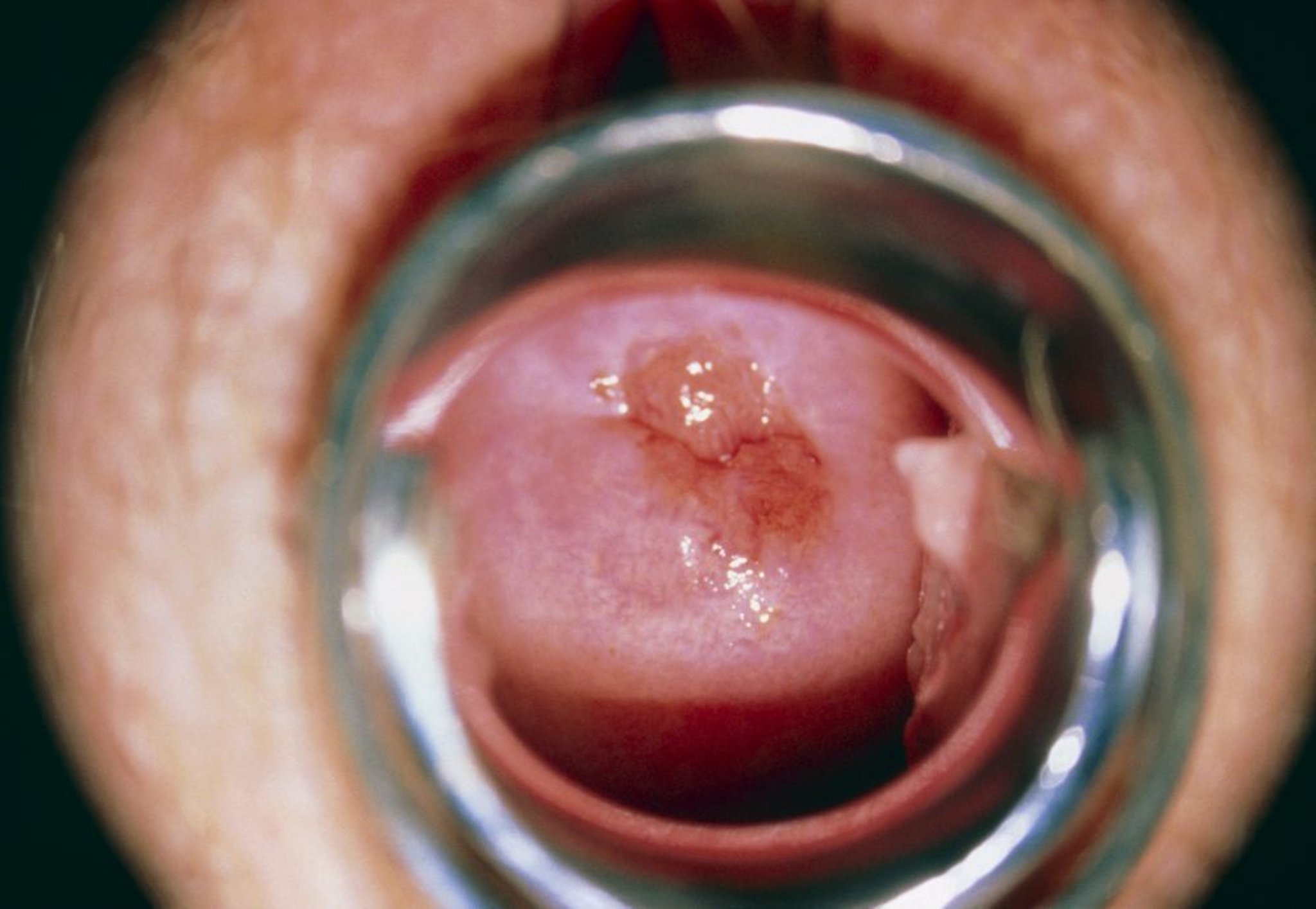
Colposcopia (centro del cuello uterino) en una paciente con neoplasia intraepitelial cervical (CIN) 1. El área precancerosa afectada está ligeramente hinchada con un área coloreada de forma anormal alrededor del orificio (abertura cervical) en el centro.
SCIENCE PHOTO LIBRARY
En estos temas
