Atelectasia y colapso del pulmón izquierdo (radiografía)
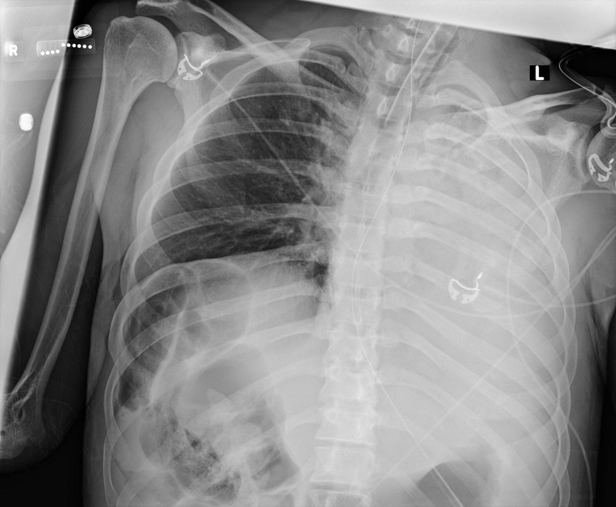
Esta radiografía de tórax muestra el colapso de todos los lóbulos del pulmón izquierdo debido a un tapón de moco.
Courtesy of Alexander S. Niven, MD
En estos temas
Esta radiografía de tórax muestra el colapso de todos los lóbulos del pulmón izquierdo debido a un tapón de moco.
Courtesy of Alexander S. Niven, MD