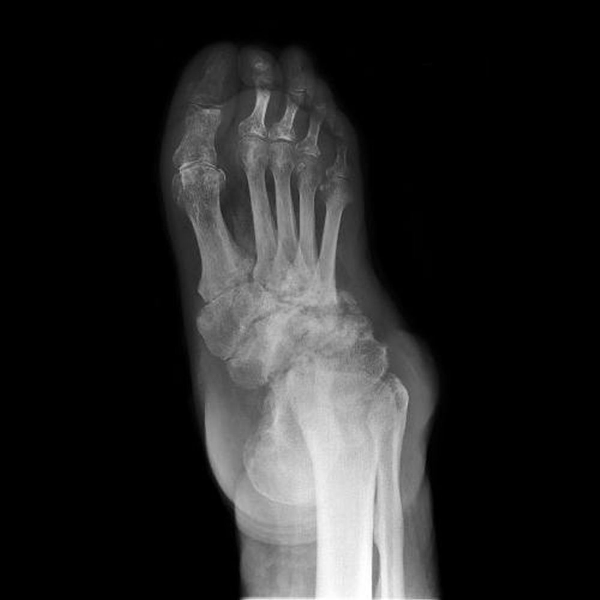
Artropatía neuropática del pie
Esta radiografía muestra una artropatía neuropática del pie (también conocida como pie de Charcot). La destrucción, las deformidades y la pérdida de los espacios articulares de los huesos del tarso son extensas.
SCIENCE PHOTO LIBRARY
En estos temas
